当前位置:首页 > 产前知识大全_分娩高清图片_分娩视频过程高清
时间:8年前 (2018-02-13)来源:怀孕期阅读量: 795
怀孕是件让人很难以捉摸的事情,不想要呢,轻松中标,想要的时候呢,却往往没有那么如意,所以在医院可以看到一个比较有意思的现象:妇产科做人流的人和求怀孕的人,永远都是那么地多...
“主任,我想要二胎,已经一年半了,没有成功,其他的都查了,就差输卵管了!”
“先做一个输卵管造影吧!”
大多数医院的输卵管检查都是从“造影术”开始的,它是检查输卵管最常用的方法。
输卵管造影术,本身伤害小,且具有一定的治疗作用的独特优势密不可分,目前输卵管造影已经成为临床上检查输卵管和宫腔形态最普遍的方法,患者接受程度相当高,在许多方面是超声、CT、核磁、宫腔镜、腹腔镜、输卵管镜等所无法替代的。
动态数字化子宫输卵管造影技术(HSG)是怎么做的呢?
看看视频就知道了。
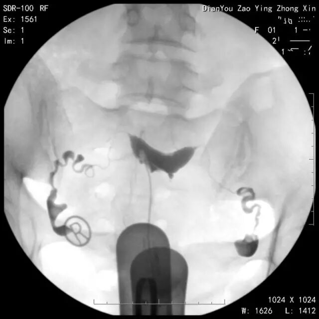
那么一张标准合格的碘水造影片长什么样呢?一起来看一组图片吧。
↑第一张:清楚地显示正常的宫腔形态。
↑第二张:显示有碘水充盈双侧输卵管腔。
↑第三张:可见碘水自伞端流出。
↑第四张:延迟涂抹片,可见碘水在盆腔内均匀涂抹。(这张非常重要,如果做了造影却没有延迟涂抹片,造影可以说白做了,无法正确做出诊断,基本靠猜,你没看错,靠猜!)
动态数字化子宫输卵管造影技术(HSG)检查的优势
1、华山造影术采用非离子生态水造影剂,无副作用,在鉴别阻塞的原因的同时可借助液体静压力的推动作用使输卵管得以复通,从而达到诊断和治疗的双重目的;
2、微创无痛、对人体损伤小,与碘油相比更安全;
3、图片更清晰,诊断结果准确率高达98%;
4、吸收快,无副作用,后期经肾脏排出,次月即可备孕。
造影检查的最佳时间
除了闭经的患者可在任何时间进行输卵管造影检查外,其他女性做造影检查的最佳时间均在月经洁净后3-7天。此时女性的子宫内膜环境最适合接受检查,检查结果更准确。如果检查时间过早,容易造成感染;如果过晚,会影响检查的效果,也易致出血。
为什么同一张造影片不同的医生判读有不同的结论,有的医生说“输卵管不通”,有的医生却说“输卵管很好”,弄得患者夫妇一头雾水,四处求解,这是怎么回事呢?
华山医院的姜春雨主任说对造影结果的判读,需要对盆腔解剖有一个完整的认识,对造影成像原理有一个客观的理解,并积累丰富的经验,为患者受孕方式和治疗计划提供最佳的指导意见。
谢谢阅读
我懂你不懂的,我懂你想懂的。
那你还在犹豫什么?
点击“阅读原文”谈谈你想知道的

现在点击“阅读原文”回复【孕酮】【性激素】【多囊】【检查】【月经】【少弱精】【死精】【视频】【卵巢储备】【胎停】【AMH】【流产】【生化】【不育】【中医】等词语至公众号后台,可获得相关解答呦~

网友跟帖