浙江一女子怀孕三月,肚子里却没有孩子,医院一查…..太吓人了!

时间:8年前 (2018-03-05)来源:怀孕期阅读量: 937

导读:

怀孕3个多月,恶心、呕吐各种早孕症状皆有,可是到医院检查一看,却没有孩子的踪影,这是怎么回事?

停经三个月,

怀上一串“葡萄”

20岁的依萍(化名),跟丈夫在金华东阳打工,今年8月份开始,依萍的例假没来,且一闻到油腻的东西就恶心、想吐,生过孩子的亲戚告诉依萍这是怀孕的症状。

  

依萍本想自己年纪还不大,还不想这么早生孩子,但既然孩子来了,也就欣然接受了。

  

怀孕第二个月,依萍隐约觉得肚子有点痛,没有生育经验的她并未多想,以为怀孕就是这样,没有打算去医院检查检查,或是看看胚胎是否健康。


  

网络配图


2天前,依萍上班时候突然觉得肚子剧烈痛起来,脸都变得煞白。

  

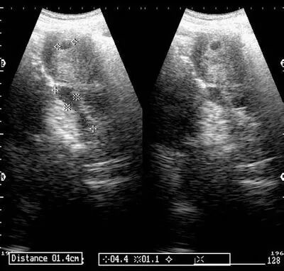
中午下班的丈夫见到依萍,吓坏了,立即将依萍送到医院,但是医院检查结果让依萍不敢相信……B超检查显示,依萍的宫腔内可见多个圆形、椭圆形不规则水泡状的东西,呈蜂窝状,就跟葡萄一样,根本没有胎儿、胎盘、羊水。


  网络配图


原来依萍怀的是葡萄胎,医生检查后发现,怀孕三个来月的肚子应该还不会隆起,可依萍的肚子却像怀孕五个月那么大,而据医生介绍,葡萄胎就是妊娠后胎盘绒毛滋养细胞增生,间质高度水肿,形成大小不一的水泡,水泡间相连成串,形状就像葡萄一样。葡萄胎的病人的子宫会明显大于停经的月份。


葡萄胎可复发,

院后随诊很重要

葡萄胎会严重危害孕妇的生命,葡萄胎在体内停留的时间越长,孕妇就越危险,易导致大出血,还有恶变的可能性。

  

东阳市人民医院妇科徐黎霞副主任医师介绍:葡萄胎一经确诊,必须尽快行刮宫术,葡萄胎的病人由于子宫异常增大,刮宫过程中出现大出血的风险会比正常流产的病人大得多,而且在子宫内组织没有排空之前是不能应用子宫收缩药物来止血的,所以必须在备血的前提下再行刮宫术,而且需有经验的医生手术,尽量缩短手术时间。根据依萍的情况,建议立即进行刮宫处理,否则随时都会有生命危险。

  

很快,依萍在医院接受了刮宫手术,手术顺利,出血不多。刮出组织内完全是一串串的小水泡,是非常典型的葡萄胎。但徐医师强调,“葡萄胎病人不是刮宫完就治疗结束了,术后需要定期监测血HCG指标,观察是否下降理想;此外,还需要B超复查,如出现宫内组织残留,还需要再次清宫;葡萄胎病人约有半数左右病人可能需要再次清宫。”


  

网络配图


徐黎霞医师指出,葡萄胎患者出院后,随诊极为重要,因为葡萄胎可能会演变为侵蚀性葡萄胎,随诊可早期发现恶变,及时采用化疗。葡萄胎于清宫后应每周查血HCG1次,待降至正常3次后,每月1次,至3个月后,每半年1次,持续2年。


随诊应特别注意血HCG变化,若HCG不降了或者反而升高了就要警惕恶变。同时还应行妇科检查了解子宫复旧情况,注意患者有无阴道异常流血、咯血及其他转移灶症状。并行盆腔B超、胸部X线片或CT检查。葡萄胎恶变大多发生于1年之内,但也有长达10余年者,故随诊年限应坚持10~15年以上。

  

在此,呼吁广大女性朋友,在发现妊娠后要及时去医院检查,有异常情况可以早发现早处理,以避免严重的并发症发生。


网络配图


怀孕之后怎么做

1、营养均衡


孕期的饮食,其实并没有太多的禁忌,只要能保障食物卫生和安全,怀孕前可以吃的,怀孕以后照样可以吃。


但是要把握一个原则:适量均衡!


均衡就是荤素要搭配好,提倡食物多样性。准妈妈要少吃甜的点心和饮料,吃水果要注意控制量,防止体重过度增加。


网络配图


2、充足的睡眠


身体疲劳的时候,病菌容易入侵。高质量的睡眠可以修复和调整免疫系统,有助于提高免疫力。


准妈妈要保证有充足的睡眠。因为尿频,准妈妈常常要起夜几次,那么临睡前就不要喝太多的水,牛奶可以提前到睡前两小时喝。


3、规律的作息


饭是吃了,可是三餐不定时;觉也睡了,可是今天晚上10点入睡,明天晚上到了12点还不睡,这样没有规律的生活,也要早点Say No哦!


网络配图


4、适当运动


准妈妈最好能坚持每天运动30-60分钟,可以选择一些平和安全的运动方式,比如,散步、有氧操。如果你之前没有运动习惯,刚开始的时候,可以隔天运动30分钟。


最好能叫上准爸爸一起,说起来就感觉更甜蜜。说实在的,这也不仅仅是为准妈妈着想,实在是看不下去有些准爸爸比孕妇还要大的肚子。


网络配图


5、戒除坏习惯


烟、酒要列入黑名单,别画大浓妆,尽量少吃煎炸烟熏类食物。


6、按时产检

这一点,不用再强调了。


网络配图


7、避免跌倒


怀孕中晚期,准妈妈肚子大了起来,重心发生变化,行动不方便,一定要防跌倒。

鞋子要防滑,上下楼梯的时候要扶着扶手,厨房、卫生间等容易有水的地方要多注意。


8、保护眼睛


每天少看电视、少玩手机,对眼睛、颈椎不好,玩手机不运动,对身体也不好。


来源:东阳市人民医院、网络

最新文章

网友跟帖

关于我们 | 联系我们 | 版权申明 | 免责声明1111

本站所收录作品、热点评论等信息部分来源互联网,目的只是为了系统归纳学习和传递资讯!

免责申明:所有作品版权归原创作者所有,与本站立场无关,如不慎侵犯了你的权益,请联系我们告知,我们将做删除处理!

Copyright 2017-2018 怀孕期 版权所有 湘ICP备15012852号