怀孕7月胎儿夭折,原因却是因为……

时间:8年前 (2018-01-31)来源:怀孕期阅读量: 711

导读:

治疗前置胎盘:双侧子宫动脉栓塞术加暂时性阻断腹主动脉剖宫产术。

作者:马飞飞

来源:医学界妇产科频道

患者:李某 性别:女 年龄:28岁

患者停经29周,半天前无明显诱因下腹紧缩感,无阴道流血、流水,自觉胎动如常,门诊以“先兆流产、完全性前置胎盘、孕29周”收入院。平时月经规律,5/30天,色红,量中,无痛经。LMP:2015-05-08,EDC:2016-02-16。停经40天出现恶心、呕吐等早孕反应,停经12周因“胎盘前置,先兆流产”在当地住院治疗,效果好。孕16至29周感觉正常无异常不适,停经26周因“先兆流产、前置胎盘”住院治疗,9天好转出院。

住院后超声明确完全性胎盘植入,患者有出血现象并逐渐增多,最后经患者及家属同意终止妊娠,考虑到患者还年轻有生育要求,同时摘除子宫对她心灵会受到很大的创伤,因此我们进行多科合作治疗前置胎盘:双侧子宫动脉栓塞术加暂时性阻断腹主动脉剖宫产术。

手术如下:

在DSA下能清楚的看到子宫中胎儿的形状(脊柱、颅脑、四肢),还不停的在胎动。介入治疗用明胶海绵栓塞双侧子宫动脉减少子宫的供血图一(左侧子宫动脉栓塞前后,右侧同左侧)。

图一:左侧子宫动脉栓塞前

怀孕7月胎儿夭折,原因却是因为……-怀孕期
图一:左侧子宫动脉栓塞后

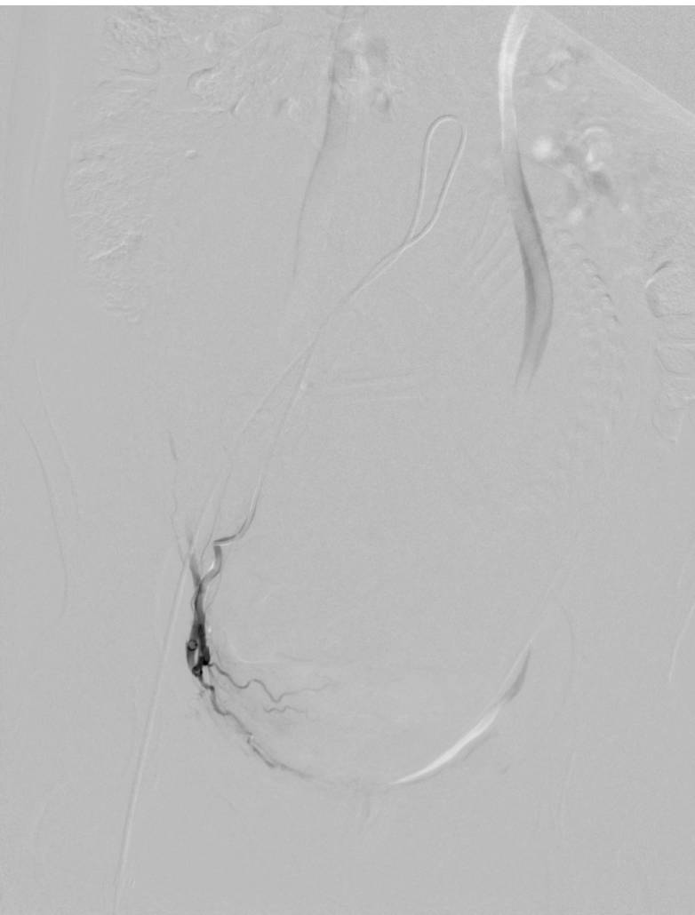
当双侧的子宫动脉栓塞结束后,小BABY已经没有了胎动,说到这读者应该明白是怎么回事了,凶险型前置胎盘伴胎盘植入者剖宫产术中平均出血量高达3000~5000 ml,甚至高达10000 ml以上,严重威胁孕产妇生命安全。既往凶险性前置胎盘剖宫产术后为止血而切除子宫,术中平均失血量仍达为3000-5000ml。为减少出血保留子宫,产科以往采取结扎髂内动脉或子宫动脉,然而对于凶险性前置胎盘并伴有胎盘植入的患者,即使结扎髂内或子宫动脉,也无法完全阻断胎盘植入部位的血供,并且剖宫产术中因出血量大,行髂内或子宫动脉结扎难度增大。近年来球囊导管技术已越来越多的应用于凶险型前置胎盘伴胎盘植入剖宫产术。由于孩子太大避免手术出血过多介入科医生在腹主动脉双侧肾动脉下方放置了球囊导管阻断腹主动脉下端的血供图二。

图二:球囊导管置入 

怀孕7月胎儿夭折,原因却是因为……-怀孕期
图二:猪尾导管造影定位

怀孕7月胎儿夭折,原因却是因为……-怀孕期
图二:球囊导管置入,阻断

一切准备好后直接把病人接到手术室进行清宫,介入医生随从在剖宫产手术过程中根据情况10分钟之内释放球囊一次,即可避免肾脏、下肢、盆腔脏器的缺血,同时可观察胎盘附着面缝合止血情况;若松弛球囊创面未再出血,即可停止球囊应用,并判定缝合子宫止血成功。手术过程出血50ml,手术结束后介入科医生把球囊导管取出,患者安全回病房。

手术进行中

什么是前置胎盘?

胎盘的正常附着处在子宫体部的后壁、前壁或侧壁。如果胎盘附着于子宫下段或覆盖在子宫颈内口处,位置低于胎儿的先露部,称为前置胎盘。前置胎盘是妊娠晚期出血的主要原因之一,为妊娠期的严重并发症。多见于经产妇,尤其是多产妇。

临床上将前置胎盘分为三个类型:一是完全性前置胎盘或称中央性前置胎盘,宫颈内口全部为胎盘组织所覆盖;二是部分性前置胎盘,宫颈内口部分为胎盘组织所覆盖;三是边缘性前置胎盘,胎盘边缘附着于子宫下段,不超越宫颈内口。

前置胎盘是怎样造成的?

1.子宫内膜发育不健全或内膜病变:孕妇经历过子宫体部手术或多次人流刮宫,引起子宫内膜受损,炎症,致使瘢痕形成。由于受损内膜局部变薄血液供应不良,当受精卵植入时,血液供应不足的胎盘向子宫下段延伸造成前置胎盘。

2.不良的生活习惯,孕妇吸烟、吸食可卡因、酗酒等,都会引发前置胎盘。

3.孕妇年龄:孕妇年纪越大,患胎盘前置的风险越高。

4.胎盘巨大:胎盘面积大,可造成胎盘延伸到下段,所以怀双胞胎患胎盘前置的风险高于单胎孕妇。

5.受精卵发育迟缓:当受精卵发育迟缓,到达宫腔内时还未发育到可以植入到粘膜下的阶段,以致继续向子宫下段运行,并植入,使胎盘发育成长后位置过低而形成前置胎盘。

前置胎盘很危险吗?

前置胎盘的主要症状为妊娠晚期或临产时,发生无痛性反复阴道出血。在前置胎盘的类型中,中央型前置胎盘又称为完全性前置胎盘,中央型前置胎盘是前置胎盘中最严重的一种。如果反复出血次数频繁,量较多,产妇可以出现贫血,其贫血程度与出血量成正比,出血严重者即陷入休克,胎儿发生缺氧、窘迫,以致死亡。中央型前置胎盘的病因目前尚未明确。可能与以下因素有关:一是子宫内膜不健全,产褥感染、多产、上环、多次刮宫、剖宫产等手术,引起子宫内膜炎,子宫内膜缺损,血液供应不足,为了摄取足够营养,胎盘代偿性扩大面积,伸展到子宫下段;二是孕卵发育迟缓,在到达宫腔时滋养层尚未发育到能着床阶段,继续下移植入子宫下段;三是胎盘面积过大,如多数妊娠盘常伸展到子宫下段。

前置胎盘怎么办?

1.期待疗法

妊娠不足36周,胎儿体重小于2300g,阴道出血量不多,孕妇全身情况好,胎儿存活者,可采取期待疗法。

a.绝对卧床休息,可给镇静剂,如鲁米那0.03g,或利眠宁10mg,或安定5mg,口服3次/日。

b.抑制宫缩,舒喘灵2.4~4.8mg,4~6小时一次,宫缩停止后给予维持量。

c.纠正贫血,硫酸亚铁0.3g,口服3次/日,必要时输血。

d.抗菌素(青霉素,先锋霉素)预防感染。

e.地塞米松10mg,肌注或静推,1次/日,连续三天,促进胎肺成熟。

f.严密观察病情,同时进行有关辅助检查,如B超检查、胎儿成熟度检查等,如大量出血、反复出血,酌情终止妊娠。

2.终止妊娠

适于入院时大出血休克、前置胎盘期待疗法中又发生大出血休克、或近预产期反复出血、或临产后出血较多,都需要采取积极措施终止妊娠。

a.剖宫产术(处理前置胎盘的主要手段),术前应积极纠正休克,输液、输血补充血容量,术中注意选择子宫切口位置,尽可能避开胎盘。

b.阴道分娩:阴道分娩是利用胎先露部压迫胎盘达到止血目的,此法仅适用于边缘性前置胎盘而胎儿为头位。在临产后发生出血,但血量不多,产妇一般情况好,产程进展顺利,估计在短时间内可以结束分娩者。决定阴道分娩后,行手术破膜,破膜后胎头下降,压迫胎盘,达到止血,并可促进子宫收缩,加速分娩,此方法对经产妇的效果较好。

c.介入:是多科合作治疗胎盘植入的关键科室,能有效的减少终止妊娠的出血量。

预防

凶险型前置胎盘合并胎盘植入对孕妇的生命造成严重的威胁,加强产前教育是对该病进行预防的主要手段和方法。产前教育能够促进孕妇引导分娩信心的极大增强,使孕妇对凶险型前置胎盘的危害有一个清晰的理解,通过临床实践证明介入治疗用于凶险型前置胎盘下过良好,更适合产科和介入等多科合作。

参考文献:

四川医学2014年6月第35卷(第六期) 介入治疗用于凶险性前置胎盘临床分析   蔡一玲

欢迎投稿到小编邮箱:yxj-fck@yxj.org.cn  来稿邮件主题为:【投稿】医院+科室+姓名

小编微信:dq010110

最新文章

网友跟帖

关于我们 | 联系我们 | 版权申明 | 免责声明1111

本站所收录作品、热点评论等信息部分来源互联网,目的只是为了系统归纳学习和传递资讯!

免责申明:所有作品版权归原创作者所有,与本站立场无关,如不慎侵犯了你的权益,请联系我们告知,我们将做删除处理!

Copyright 2017-2018 怀孕期 版权所有 湘ICP备15012852号