什么是葡萄胎?治疗后还可以备孕、怀孕吗?

时间:8年前 (2018-02-13)来源:怀孕期阅读量: 600

导读:

何秀军广东省佛山市禅城区中心医院

许建平胎儿视界)


自从二胎开放后,多少希望犹存的高龄女士毫不犹豫的加入了备孕大军,有成功者,婆婆媳妇同时妊娠、同时分娩已不是传奇。然而也有失败者,其中大家所关注的唐氏综合症筛查已是家喻户晓,然而,对于高龄女士,还有一个不为大家所重视和了解的高风险情况——葡萄胎

 

曾几何时,一首“吐鲁番的葡萄熟了”醉遍大江南北,保家卫国,葡萄是功不可没。然而在妇产科学方面,葡萄可不是一个令人舒心的好词。由于疾病的特性,生活中最常见的水果、葡萄被挪用在妇产科作为疾病的病名了。工作中常常有患者问:什么是葡萄胎?因何而起?怎么治疗?清理完后多久能再怀孕?有再发风险吗?针对这些问题,我们特撰文进行系统回复,并重点关注葡萄胎治愈后能否继续备孕、怀孕以及是否有良好的结局。

 

什么是葡萄胎?有哪些类型?


葡萄胎是妇女怀孕后胚胎发育异常,胎盘绒毛滋养细胞增生,绒毛间质高度水肿,在子宫内形成许多大小不一的形如葡萄的透明水泡,因而称为葡萄胎(见图一)。

一、中期妊娠葡萄胎的手术标本[1][2],可见一串串“葡萄”状的水泡状物


图二、美丽后面的忧桑,早期妊娠清宫后吸出的葡萄胎组织,经漂洗后放大看起来晶莹透明、一串串“葡萄”状的水泡状物。

 

葡萄胎Hydatidiform mole归属于妊娠滋养细胞疾病(GTD),后者实际包括一系列滋养细胞疾病,如良性的完全性葡萄胎(CHM)和部分性葡萄胎(PHM),恶性的侵蚀性葡萄胎、绒毛膜癌、胎盘部位滋养细胞肿瘤(PSTT)和上皮样滋养细胞肿瘤(ETT),后四种统称为妊娠滋养细胞肿瘤(GTN具有恶性肿瘤的特点,可发生远处转移。若未得到及时的诊断和治疗,可导致死亡。

 

图三、滋养叶细胞疾病分类示意图(图片来自教材)

 

葡萄胎因何而起?有哪些症状?


葡萄胎确切的病因不清,可能与卵巢功能不全或衰退、雌激素不足、孕卵缺损、致癌基因活跃及抑癌基因变异失活等因素有关,因而好发于20岁以下40岁以上的两极妇女,最终导致染色体异常所致:如90%的完全性葡萄胎源于父系二倍体;90%的部分性葡萄胎则由于三倍体异常所致。葡萄胎滋养细胞具有潜在的侵蚀性,16%的完全性葡萄胎和0.5%的部分性葡萄胎可发展为恶性类型,即为侵蚀性葡萄胎及绒毛膜癌。这两者的根本区别在于前者病理有完整的绒毛结构,而后者没有。侵蚀性葡萄胎由良性葡萄胎恶变而来,而绒毛膜癌除继发于葡萄胎外(占50%),尚可以继发于正常妊娠、异位妊娠或流产等。

 

如果从胎盘绒毛滋养层细胞结构来讲,正常胎盘绒毛由细胞滋养层细胞、合体滋养层细胞和中间型滋养层细胞组成,而合体细胞可以产生β人绒毛膜促性腺激素(即β-HCG)。侵蚀性葡萄胎、绒毛膜癌为细胞滋养层细胞,合体滋养层细胞不同程度增生,β-HCG异常增高,常高于100000mIU/mL;而胎盘部位滋养细胞肿瘤(PSTT)和上皮样滋养细胞肿瘤(ETT)则源于中间型滋养细胞的异常增生,其特点是生长缓慢,由于无合体细胞,血β-HCG值常较低,多低于1000mIU/mL,但血清人胎盘催乳素(HPL)水平增高。可继发于正常妊娠、异位妊娠、流产甚至葡萄胎等,临床罕见。

 

葡萄胎临床表现为:停经后很容易误认为是正常怀孕了而疏忽大意,故而早期超声检查极为重要不规则阴道流血,子宫常大于相应孕周并伴有妊娠剧吐;继发于葡萄胎的GTN可表现为清宫后不规则阴道流血,β-HCG不能如期降至正常,或下降后又升高;继发于非葡萄胎的GTN可表现为人流或分娩后近期或远期的异常阴道流血,β-HCG下降后又升高。而前面已讲到,由于PSTTETT无产生β-HCG的合体细胞,所以β-HCG仅轻度升高。晚期GTN患者可有远处转移症状:如转移至肺部者可表现为咳嗽、咯血和胸痛,头部转移者可出现头痛、癫痫等。

 

葡萄胎的超声表现如何?

 

随着超声的普及并作为早孕期的常规检查,很多葡萄胎已能得到及早诊断。由此可见,早期的超声检查极为重要,见胎儿视界科普系列:胎儿超声检测的基本知识切不可因为无稽之谈的超声波的什么副作用而失去早期的诊断机会,不同类型的葡萄胎其超声表现亦不同:

 

完全性葡萄胎:超声表现为子宫增大,常大于孕周,宫腔内无妊娠囊及胚胎结构,而充满低回声含液体的葡萄胎囊泡,蜂窝状无回声小囊呈葡萄样改变,彩色多普勒示宫腔内蜂窝状液性暗区内几乎无血流信号。(见图


四、完全性葡萄胎的子宫声像及彩超表现(经阴道超声)。左:灰阶(即黑白超声),无孕囊、无胚胎。右:彩色多普勒血流显像检测葡萄胎内无血流信号检出。

          

部分性葡萄胎:宫腔内可有妊娠囊结构,囊内可见胚胎或无胚胎,胚胎可存活或死亡,存活胎儿多有畸形或生长受限。胎盘增大,胎盘实质内散在多发囊性结构。部分病例可出现双侧卵巢多房性黄素化囊肿(见图5,6)。部分性葡萄胎早期声像图常不典型,常常于人流后病理检查确诊。


图五、A、B:部分性葡萄胎早期声像,可见孕囊、羊水、甚至胎儿。C:部分性葡萄胎标本[3],可见葡萄状的胎盘和胎儿。D:卵巢黄素化,呈多个囊泡状,直径可达10cm以上。


图六、部分性葡萄胎中期声像纵切面和横切面成像,可见胎儿和葡萄胎组织共存(图片来自教材)。

 

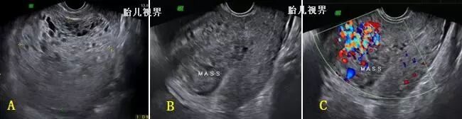
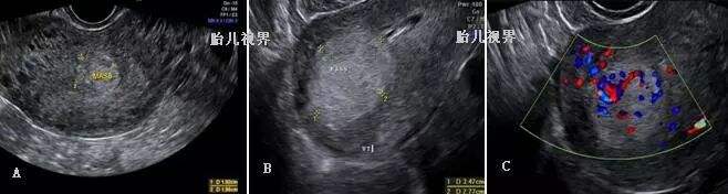
CTN即恶性的侵蚀性葡萄胎、绒毛膜癌、胎盘部位滋养细胞肿瘤(PSTT)和上皮样滋养细胞肿瘤(ETT)的总称,它们有个共同的生物特点,均由于病变已侵犯子宫肌层血管,造成血管的构筑异常;超声表现亦相似,即于宫内出现局灶型或弥漫性病灶,病灶可以为高回声、低回声、无回声或混合回声,弥漫型者子宫呈千疮百孔”状。彩色多普勒示病灶血流丰富,甚至呈五彩缤纷血流信号,且为高速低阻频谱并能见到动静脉瘘频谱(见)。需要指出的是,有种罕见情况,即双胎之一葡萄胎,合并一正常胎儿,需要与部分性葡萄胎鉴别,前者葡萄胎与正常胎儿分界清楚,存活胎儿常发育正常;而后者则于胎盘内散在囊性病灶,胎儿常发育不良。

 

图七、一例早孕人流后发展的妊娠滋养细胞肿瘤声像,宫底浸润,血流丰富伴宫旁侵犯(经阴道超声)


图八、一例完全性葡萄胎(左图)清宫后发展的妊娠滋养细胞肿瘤声像,前壁浸润,伴血流丰富(经阴道超声) 


图九一例足月分娩后发展的妊娠滋养细胞肿瘤声像,宫内高回声团块短期内迅速增大,血流丰富(经阴道超声)

 

图十、CT(计算机断层扫描)检查下腹部和盆腔的纵切面葡萄胎成像,一般在女性停经怀疑早孕者不推荐作为常规采用放射线的技术来检测葡萄胎。(图片来自教材)

 

怎样治疗葡萄胎及葡萄胎的随访监测

 

葡萄胎主要采用清宫术,而对于严重病例,可选择预防性化疗。因为葡萄胎滋养细胞具有潜在的侵蚀性,16%可发展为恶性滋养细胞疾病,即侵蚀性葡萄胎、绒毛膜癌,所以清宫后的监测尤其重要,而超声堪当主要的监测手段,既可以发现有无残留,又能及早发现侵蚀性病变,再结合β-HCG的监测,更能协助诊断。方法是清宫后每周复查B超及β-HCG,直至β-HCG降至正常。如B超发现子宫肌层受侵犯并伴有β-HCG的升高,则考虑发展为侵蚀性葡萄胎或绒毛膜癌。

 

因为侵蚀性葡萄胎、绒毛膜癌声像特点相似,同时均伴有β-HCG明显升高,均对化疗敏感,因此临床均多采用化疗;而胎盘部位滋养细胞肿瘤(PSTT)和上皮样滋养细胞肿瘤(ETT)声像特点与侵蚀性葡萄胎、绒毛膜癌亦大同小异,虽然最后的确诊需靠手术后病理检查及免疫组化,但由于PSTTETTβ-HCG增高多不明显,因此来鉴别。PSTTETT对化疗多不敏感,手术就成为主要的治疗手段。所有CTN患者治疗后均应定期随访,随访的内容亦包括B超和β-HCG超声可以观察病灶大小及血流丰富程度的变化甚至RI的变化,因此来监测化疗的效果。再联合β-HCG的水平变化帮助判断疗效。而对于CTN治疗后β-HCG的监测间隔时间建议严格遵守专业医生医嘱。

 

葡萄胎治疗后多久能再怀孕?


葡萄胎清宫后,在超声和β-HCG严密监测下,在无复发及侵蚀发生,且β-HCG降至正常后并继续随访的情况下,美国NIH推荐采取有效的避孕措施6-12个月后方可再次怀孕而对于接受过预防性化疗者,为避免化疗药对胎儿的影响,建议避孕12个月或以上。CTN患者治疗后希望再次怀孕者,亦必须待β-HCG随访降至正常,并于化疗结束1年后方可解除避孕。大量的研究表明,CTN治愈后对将来的生育、妊娠和后代均无影响。值得注意的是,备孕前请做一个全面体检,并重点要检查甲状腺、心肺,排除和处理甲状腺、心肺方面的并发症。

葡萄胎治疗后怀孕的结局如何?


美国权威网络指南 Uptodate 介绍:完全性葡萄胎患者治疗后妊娠的足月分娩率为 68.4%,早产率为 7.4%18.4% 自然流产,11%宫外孕,0.5%胎停。所以,葡萄胎妊娠后应进行严密的各项检查,特别是需要按期实施超声波检查。部分性葡萄胎患者治疗后的妊娠结局略优于完全性者,其足月分娩率为 72.8%,早产率为 2.2%17.9% 自然流产,0.6% 宫外孕,0.3% 胎停。

 

上述数据表明,葡萄胎后妊娠总体结局良好,足月分娩成功率在 70% 左右。所以,葡萄胎治疗后,在再次妊娠后应进行严密的各项检查,特别是需要早期和按期实施超声波检查。

 

还有再发葡萄胎的风险吗?


单次葡萄胎后复发的风险较低,仅0.6%2%,连续葡萄胎后再发的风险则大大提高(15%-17.5%),而家族性复发性葡萄胎患者复发葡萄胎的风险极高,但罕见。对于高龄女性,特别是40岁以上者,渴望怀二胎者,出于安全的原因,不推荐做备孕计划,建议采取有效避孕措施,并推荐咨询您的妇产科医生。



本篇科普完稿于2017年12月7日,影像学部分由何秀军医生执笔于广东佛山,胎儿视界母亲胎儿医学团队许建平医学博士改编妇产科学部分于美国东海岸,冯念红编导编辑。何医师、许医师以自己从医30多年的临床一线实战经验,奉献给读者。葡萄胎不须怕,及早就医,可诊可治。高龄女性尤其是年龄大于40岁者,在治愈后不推荐继续备孕。年轻女性治愈后可在密切监护随访和医师指导下备孕。

  

参考文献

1. Ginecologia Oncolgica,Mola hidatiforme parcial, características macroscópicas[EB/OL].

2. http://oncologiabetania.org/photo_15-3mola-hidatirome-parcial-jpg.html

3. Dr.Enrique R.Morcate Campos, U.A.G, Enfermedad trofoblastica de la gestacion[R]

4. Juan Rosai, Ivan Damjanov, Marin Nola.Rosai and Ackerman's Surgical Pathology Review[M].Mosby Elsevier,2007.

5. 谢红宁.妊娠滋养细胞疾病的超声特征与诊断[J].肿瘤影像学,2017,26(3):161-164

6. 向阳等.妊娠滋养细胞疾病诊治进展[J].中国实用妇科与产科杂志,2017,33(1):14-18

7. Hydatidiform mole. The National Library of Medicine (NLM) 2016

8. Hydatidiform mole: Management. Uptodate 2017

 

胎儿视界提醒:

以上仅仅列举少部分临床常见的病例、图片和数据,仅为妇产科学、超声医学、肿瘤学等方面的简单介绍,各种病例的类型、病因、发病机制、诊治等均有诸多不同。如果出现上述情况,请孕妈们及时赴医院就诊,切勿随意处理和疏忽大意,本篇科普不作为您的个人决策参考。请勿把文章中的图片和数据自行对号入座,以免增加不必要的恐慌。如有疑问,请联系我们和相应的专科进行咨询。


胎儿视界源自于 以临床数据和医学图像为准则(Law of clinical data and medical imaging的胎儿医学及妇产科学科普平台和团队胎儿视界30多年的国内外的临床和基础实验经验,竭诚为您提供备孕、妊娠、胎儿咨询服务。

 

 

 


长按二维码后关注本微信公众号,

可及时获取我发布的最新资讯。

最新文章

网友跟帖

关于我们 | 联系我们 | 版权申明 | 免责声明1111

本站所收录作品、热点评论等信息部分来源互联网,目的只是为了系统归纳学习和传递资讯!

免责申明:所有作品版权归原创作者所有,与本站立场无关,如不慎侵犯了你的权益,请联系我们告知,我们将做删除处理!

Copyright 2017-2018 怀孕期 版权所有 湘ICP备15012852号