当前位置:首页 > 怀孕饮食|孕妇不能吃哪些食物,孕妇不能吃哪些水果,怀孕初期吃什么好
时间:8年前 (2018-03-05)来源:怀孕期阅读量: 934
对于患有子宫肌瘤的患者来说,如需怀孕则可能需要接受肌瘤切除术。但根据阿联酋阿尔艾因医院介入放射学会主席 Jamal Alkoteesh 的研究表明,侵入性更小的子宫肌瘤栓塞术并发症几率更小,相对于肌瘤切除术来说受孕率更高些。
Jamal Alkoteesh 医生在 auntminnie 上对该研究进行了介绍,让我们一起来了解一下这项技术的优势所在。
子宫肌瘤是常见的良性肿瘤,可致经期延长、经量过多,严重可致贫血。还可有盆腔痛、尿频、性交痛、流产以及子宫体积增大似妊娠状。约有 15%~30% 的 35 岁以上的阿拉伯女性患有子宫肌瘤。30 岁后晚孕的女性增多,这也是肌瘤发生发展的时期,会对生育产生影响。
子宫肌瘤对妊娠的影响与肿瘤的大小、数量和位置有关。当肌瘤较大压迫一侧或双侧输卵管时会导致不孕。当肌瘤突入宫腔内时,会有很高的几率导致流产。
肌瘤患者如果希望怀孕,常规治疗是采用肌瘤切除术。这种方式适用于肌瘤为单发,且位于浆膜下、大小中等或偏小。
而子宫肌瘤栓塞术是一种侵犯性小的介入治疗术,并发症几率低于传统肌瘤切除术。适应证包括单发或多发肌瘤、体积较大、肌瘤切除术后复发。还适用于希望避免外科创伤者、外科手术有风险者、任何年龄妇女希望保留子宫者以及未孕处女患有肌瘤者。
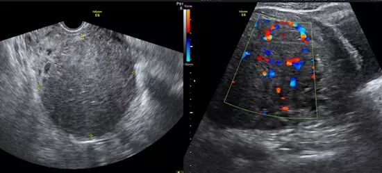
图 1 为 34 岁女性,经量过多,经期为 9 天,同时患有二尖瓣狭窄。超声发现一 10*8 cm 子宫肌瘤,接受肌瘤栓塞术
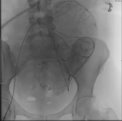
图 2 为子宫肌瘤栓塞术中
图 3 为患者在肌瘤栓塞术后 8 个月怀孕。超声检查显示为单胎,胎龄 31 周 1 天,与停经日期相符。栓塞术后的肌瘤现在大小为 8.2*7.8*7.6 cm,相比以前呈衰退性改变。胎盘前置,羊水正常。剖宫产后获得健康足月胎儿
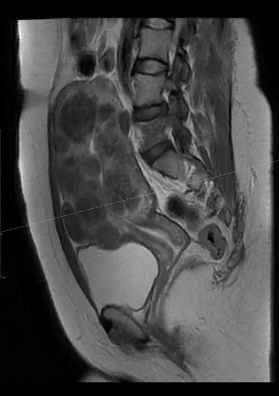
图 4 为 34 岁女性有严重的月经过多和贫血,腹部 MR 示一巨大单发 30*20 cm 肌瘤。医生建议其接受子宫切除术,但她选择肌瘤栓塞术。术后肌瘤体积减小 60%,症状得到控制
图 5 为 MR 示 29 岁女性多发子宫肌瘤,已无法手术切除肌瘤。而肌瘤栓塞术可以保留子宫和生育能力。患者术后 12 个月后怀孕
图 6 为 32 岁女性有 5 cm 大小粘膜下肌瘤,术前和术后 4 个月 MR 如图所示。患者盆腔疼痛和月经过多的症状在术后 1 个月后缓解。MR 显示粘膜下肌瘤明显缩小,卵巢囊肿消失。并于术后 6 个月后怀孕
该研究中, 2011 到 2016 年之间接受肌瘤栓塞术小于 40 岁的患者中(共 35 名)有 23 位反馈了生育情况,18 名生育, 5 名未生育。2 胎或多胎妊娠出现早产。23 次妊娠中,16 次为正常妊娠,15 名女性妊娠一次,4 名女性妊娠两次。剩余患者没有生育。没有出现胎儿宫内发育迟缓、分娩时发生窘迫、或与子宫完整性相关的状况。2 例出现了轻微的羊水偏少和胎盘低置。
虽然这项研究的队列很小,仅为 23 人,但结果表明肌瘤栓塞术后可以成功的怀孕。小于 40 岁的接受肌瘤栓塞术女性的怀孕几率为 45.7%,成功分娩率为 86%,优于肌瘤切除术(10% 到 46%),腹腔镜肌瘤切除(16% 到 33%)以及宫腔镜肌瘤切除术(8% 到 35%)。这表明在保留生育能力方面,肌瘤栓塞术可以作为治疗子宫肌瘤的首选方法。
总之,肌瘤栓塞术不仅可以使因子宫肌瘤无法怀孕的患者成功怀孕,还可以使怀孕过程以及并发症的发生几率与正常人群相似,使她们不再是怀孕的高危人群。
未来,肌瘤栓塞术可能会成为因肌瘤无法怀孕患者的一线治疗方法。同时,对于一些因多发的间质和/或黏膜下肌瘤而无法接受肌瘤切除术以及肌瘤切除术后复发者,肌瘤栓塞术是一个很好的保留生育能力的替代治疗方法。
栓塞后有一些不孕的风险,即因射线导致的过早绝经、子宫切除术,但风险很小。且与肌瘤切除术相比,风险很小。肌瘤栓塞术的怀孕率与肌瘤切除术相仿。妊娠期间和分娩都没问题,且对母体和胎儿均没有不良影响。这些结果还需要多中心大样本的研究来进行验证。
对于患者来说,如果因未来需要怀孕而选择肌瘤栓塞术是一个很复杂的过程,而且还需要妇产科医生、不孕不育专家和介入专家来共同研究讨论。
编辑 | 刘芳
关注 影像时间 ,回复「绑定」,获取 5 个丁当。
网友跟帖
