怀孕3月美女子宫内惊现一串串“葡萄”!胎儿却不见了……

时间:8年前 (2018-01-31)来源:怀孕期阅读量: 333

导读:

提示:点击上方东阳市人民医院 一键关注


       怀孕3个多月,恶心、呕吐各种早孕症状皆有,可是到医院检查一看,结果令人大跌眼镜,竟然肚子里面没有孩子,有的却是一串葡萄样的水泡组织……


停经三个月,怀上一串“葡萄”

20岁的依萍(化名),跟丈夫在东阳打工,今年8月份开始,依萍的例假没来,且一闻到油腻的东西就恶心、想吐,生过孩子的亲戚告诉依萍这是怀孕的症状。


(网络配图)

依萍本想自己年纪还不大,还不想这么早生孩子,但既然孩子来了,也就欣然接受了。

怀孕第二个月,依萍隐约觉得肚子有点痛,没有生育经验的她并未多想,以为怀孕就是这样,没有打算去医院检查检查,或是看看胚胎是否健康。

2天前,依萍上班时候突然觉得肚子剧烈痛起来,脸都变得煞白。

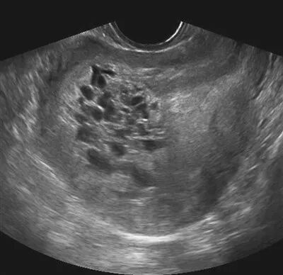
中午下班的丈夫见到依萍,吓坏了,立即将依萍送到医院,但是医院检查结果让依萍不敢相信……B超检查显示,依萍的宫腔内可见多个圆形、椭圆形不规则水泡状的东西,呈蜂窝状,就跟葡萄一样,根本没有胎儿、胎盘、羊水。


(网络配图)

原来依萍怀的是葡萄胎,医生检查后发现,怀孕三个来月的肚子应该还不会隆起,可依萍的肚子却像怀孕五个月那么大,而据医生介绍,葡萄胎就是妊娠后胎盘绒毛滋养细胞增生,间质高度水肿,形成大小不一的水泡,水泡间相连成串,形状就像葡萄一样。葡萄胎的病人的子宫会明显大于停经的月份。

葡萄胎可复发,院后随诊很重要

葡萄胎会严重危害孕妇的生命,葡萄胎在体内停留的时间越长,孕妇就越危险,易导致大出血,还有恶变的可能性。


(网络配图)

东阳市人民医院妇科徐黎霞副主任医师介绍:葡萄胎一经确诊,必须尽快行刮宫术,葡萄胎的病人由于子宫异常增大,刮宫过程中出现大出血的风险会比正常流产的病人大得多,而且在子宫内组织没有排空之前是不能应用子宫收缩药物来止血的,所以必须在备血的前提下再行刮宫术,而且需有经验的医生手术,尽量缩短手术时间。根据依萍的情况,建议立即进行刮宫处理,否则随时都会有生命危险。


很快,依萍在医院接受了刮宫手术,手术顺利,出血不多。刮出组织内完全是一串串的小水泡,是非常典型的葡萄胎。但徐医师强调,“葡萄胎病人不是刮宫完就治疗结束了,术后需要定期监测血HCG指标,观察是否下降理想;此外,还需要B超复查,如出现宫内组织残留,还需要再次清宫;葡萄胎病人约有半数左右病人可能需要再次清宫。”


徐黎霞医师指出,葡萄胎患者出院后,随诊极为重要,因为葡萄胎可能会演变为侵蚀性葡萄胎,随诊可早期发现恶变,及时采用化疗。葡萄胎于清宫后应每周查血HCG1次,待降至正常3次后,每月1次,至3个月后,每半年1次,持续2年。随诊应特别注意血HCG变化,若HCG不降了或者反而升高了就要警惕恶变。同时还应行妇科检查了解子宫复旧情况,注意患者有无阴道异常流血、咯血及其他转移灶症状。并行盆腔B超、胸部X线片或CT检查。葡萄胎恶变大多发生于1年之内,但也有长达10余年者,故随诊年限应坚持10~15年以上。

 在此,呼吁广大女性朋友,在发现妊娠后要及时去医院检查,有异常情况可以早发现早处理,以避免严重的并发症发生。


最新文章

网友跟帖

关于我们 | 联系我们 | 版权申明 | 免责声明1111

本站所收录作品、热点评论等信息部分来源互联网,目的只是为了系统归纳学习和传递资讯!

免责申明:所有作品版权归原创作者所有,与本站立场无关,如不慎侵犯了你的权益,请联系我们告知,我们将做删除处理!

Copyright 2017-2018 怀孕期 版权所有 湘ICP备15012852号