原来不是怀孕了!诊病比探案更扑朔迷离

时间:8年前 (2018-01-30)来源:怀孕期阅读量: 597

导读:

病例


37 岁女性患者,G4P3,因阴道流血 1 周至外院就诊,患者近日感疲劳,自测妊娠试验阳性,根据末次月经推算孕龄 6+3周。检查:β-hCG 值 680 mIU/mL,超声未定位出妊娠部位。外院诊断为完全自发性流产并出院。

患者在孕 11 周因持续性阴道流血至妇产科医院就诊。测β-hCG 值 5090 mIU/mL 但仍未发现妊娠部位,对患者进行β-hCG 值和超声监测。孕 11+5周,β-hCG 值上升至 7779 mIU/mL,仍无宫内妊娠的超声证明。因此,诊断为异位妊娠,并给予标准剂量(50 mg/m2)甲氨蝶呤治疗。

用药后,β-hCG 值从第 4 天(7314 mIU/mL)至第 7 天(5210 mIU/mL)下降了 40%。然而,1 周后β-hCG 值反升至 10937mIU/mL 且依旧未定位出妊娠部位,并再次给予甲氨蝶呤治疗。

再次评估一下,诊疗思路有何转变?

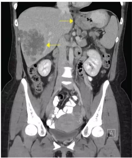
医生对患者胸腹部及盆腔进行 CT 扫描。CT 结果显示,近端胃异常增厚、胃周淋巴结扩大以及肝左右叶多发病变,最大病变前后径约为 9.5 cm(下图)。胸部 CT、盆腔 CT 未见异常。

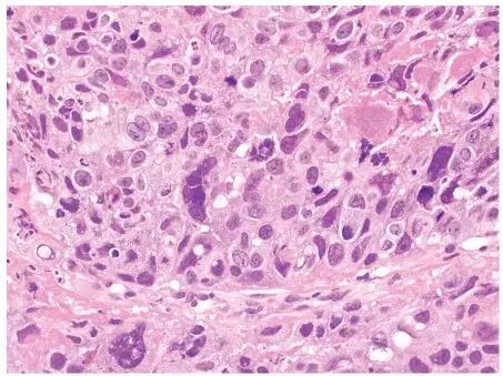
胃食管交界处活检病理显示伴有异性中间体和滋胚层的低分化浸润癌暗示绒毛膜癌。免疫组化染色显示,肌酸激酶 7(见于腺癌和上皮性肿瘤)、 SALL4/PLAP(生殖细胞标记物)和β-hCG 阳性,抑制素(见于卵泡颗粒细胞瘤)、CK20/CDX2(见于胃腺癌)和 OCT4(未分化细胞标记物)弱阳性或局部染色。

原来不是怀孕了!诊病比探案更扑朔迷离-怀孕期
注:胃绒毛膜癌(苏木精伊红染色)

两周后,患者再次就诊,实验室检查:β-hCG 19308 mIU/mL、LDH 548U/L(122-222U/L)、甲胎蛋白 11ng/mL(<6ng/mL)。行 PET-CT 扫描以确定癌灶是否有转移。PET-CT 结果示增厚的胃底、后腹膜上部、胃肝韧带以及左右肝叶出现高氟代-脱氧葡萄糖摄取率。

在甲氨蝶呤治疗妊娠性绒毛膜癌的基础上选用博来霉素、依托泊苷以及顺铂方案化疗。完成 3 个月博来霉素、依托泊苷以及顺铂的化疗后,最初患者的β-hCG 值降至 515 mIU/mL。随后,患者的β-hCG 增加稳定在 800 mIU/mL 并且发现了新的肝部转移病灶。在完成一个周期的紫杉醇异环磷酰胺-美司钠以及顺铂的化疗后,β-hCG 值降至约 100 mIU/mL。

因整个化疗过程伴发粒细胞减少性发热以及顺铂导致肾小管坏死而引起的急性肾损伤,更改化疗方案为阿霉素、环磷酰胺、依托泊苷以及开始使用粒细胞集落刺激因子为自体干细胞移植做准备。不幸的是,患者在确诊后 7 月因心脏骤停去世。

异常β-hCG 值增高却未发现妊娠部位需要注意什么?


病例表明,未知部位妊娠出现持续数周阴道流血、异常β-hCG 值增高却未发现妊娠部位、对甲氨蝶呤反应不完全等临床可疑症状时,重新进行诊断评估是非常重要的。β-hCG 值增高的鉴别诊断包括:异嗜性抗体、妊娠滋养细胞疾病、非妊娠性生殖细胞肿瘤如绒毛膜癌以及其他的伴有局灶性绒毛膜癌分化的恶性肿瘤。

面对不断上升β-hCG 水平以及持续缺乏妊娠证据时,首先要确定建议患者进一步检查和干预的β-hCG 值。有文献表示诊断未知部位妊娠的患者,β-hCG 值超过 3000 mIU/mL 者,异位妊娠的风险增加了 70 倍,进一步发展成宫内妊娠的可能性为 0.5%。但是,β-hCG 水平不是预测异位妊娠破裂的绝对指标。

考虑到妊娠滋养细胞疾病,就应考虑到早期流产后或足月分娩后无法识别的肿瘤性疾病的可能。在妊娠性绒毛膜癌患者中,25% 的患者继发于在葡萄胎后,50% 的患者发生在足月分娩后,另外的 25% 发在其他的一些妊娠后。最常见的症状是不典型的阴道流血,平均诊断时间间隔约在分娩或流产后 5~6 月。

妊娠滋养细胞肿瘤的化疗


肌注甲氨蝶呤方案,此方案副作用好,每两周化疗一次,可在门诊治疗,此方案持续至 hCG 转阴并行 3 周期巩固化疗方案(即转阴后继续治疗 6 周),1/3-4 患者对此方案耐药,需要增加 EMA-CO 或者放线菌素行联合化疗,极少数患者对甲氨蝶呤耐药需要更换其他药物;评分高风险者或者复发患者应该由 MDM 医师讨论制定下一步方案。

所有妊娠滋养细胞肿瘤患者应该在随访期间定期监测 HCG, 由于治疗方案取决于 hCG 的水平,因此每位患者必须定期连续检测血 hCG,化疗后建议复查肿瘤大小,可行经阴道彩超、CT、MRI 检查, 若化疗后出现 hCG 异常,首先排除新发妊娠,立即复查血 hCG。

非妊娠性生殖性绒毛膜癌在年轻的儿童或青少年的典型表现是下腹部疼痛和阴道流血。妊娠性或非妊娠性瘤变的进一步区别可能就是病理分析了。此病例中,胃窦部病理表现为绒毛膜癌分化且免疫组化标记物证实为绒毛膜癌变型。妊娠性与非妊娠性绒毛膜癌的鉴别诊断对治疗和预后至关重要。

妊娠性绒毛膜癌与非妊娠性绒毛膜癌鉴别:

  • 1.子宫内膜活检结果显示蜕膜基质分解、腺体处于非活动状态暗示为非妊娠性绒毛膜癌,而不是妊娠性绒毛膜癌。

  • 2.妊娠性绒毛膜癌会显示父系 DNA,可通过 DNA 多态性短串联重复性分析对肿瘤 DNA 与患者 DNA 进行比较以明确诊断。肿瘤 DNA 与患者 DNA 样本是完全相同的(即,肿瘤不含有外来父系等位基因),排除了妊娠性绒毛膜癌。

是时候了解一下非妊娠性绒毛膜癌了


组织发生非妊娠性绒癌与妊娠无关, 目前对其发生无一致认识。最早认为是生殖细胞自卵黄囊沿尿生殖嵴从前向后移行过程中, 部分停留在中途, 后因某种因素分化成为绒癌, 可解释其好发于体轴附近部位。畸胎发生学说, 即多能原始生殖细胞在分化过程中, 由于某些原因而形成生殖细胞肿瘤, 可解释其常和生殖细胞肿瘤并存。

非妊娠性绒癌的临床症状多无特异性, 可有类早孕反应、男性乳房发育、女性性早熟, 也有甲状腺机能亢进症状的报道。女性可有闭经和阴道不规则出血, 局部扪及包块, 如肿瘤发生坏死、破裂出血, 可出现急腹症的表现。男性可出现腹股沟或下腹部坠胀、疼痛; 一侧睾丸红肿、增大伴有疼痛。发生于其他部位时, 可出现相应器官肿瘤的一些不典型症状。

非妊娠性绒癌多发生于男女性腺, 且常与其他生殖细胞肿瘤并存。生殖器官外多见于纵隔、腹膜后等体轴附近部位。非妊娠性绒癌主要经血行转移, 最多见于肺转移, 其他部位有脑、肝、肾、胃肠道、阴道等。也有以皮肤、锁骨上淋巴结等远处转移灶为首发症状者, 往往预后不良。

诊断绝大多数病例初次就诊时被误诊, 尤其是男性绒


诊断绝大多数病例初次就诊时被误诊, 尤其是男性绒癌罕见, 初诊确诊尤为困难, 多为手术获得标本后经病理诊断。而其恶性程度高, 广泛转移早, 术后诊断往往错过最佳化疗时机, 为预后不佳的原因之一。如果年轻男性发现进展迅速的性腺或其他部位肿瘤, 术前测定血 hCG 可能提高其诊断率, 并为早期化疗和改善预后提供可能。

非妊娠性绒癌是来自于绒毛细胞自身的恶性肿瘤, 手术治疗是必要手段。但往往因瘤体大, 肿瘤活性高, 转移和侵犯部位广泛, 早期手术切净率低并易促进血行转移, 往往术后病情急剧恶化。故主张术前经多疗程化疗, 待hCG接近正常, 肿瘤负荷明显减少时, 行根治性手术, 可减少疗程, 降低复发。治疗化疗方案的选择, 应根据肿瘤组织成分及治疗效果选择并及时调整化疗药物。

总之, 提高对非妊娠性绒癌的认识, 结合临床表现和肿瘤标记物检测, 可以提高其诊断率。积极行化疗并结合手术治疗。

本文来自美国梅奥诊所的 Alyssa Larish 等一原发性胃绒毛膜癌表现为未知部位妊娠的临床病例的报道,文章发布在 Obstetrics & Gynecology,原文题目为 Primary Gastric Choriocarcinoma Presenting as a Pregnancy of UnknownLocation.

编辑:高瑞秋

最新文章

网友跟帖

关于我们 | 联系我们 | 版权申明 | 免责声明1111

本站所收录作品、热点评论等信息部分来源互联网,目的只是为了系统归纳学习和传递资讯!

免责申明:所有作品版权归原创作者所有,与本站立场无关,如不慎侵犯了你的权益,请联系我们告知,我们将做删除处理!

Copyright 2017-2018 怀孕期 版权所有 湘ICP备15012852号