二胎前,你需要了解的事儿–剖宫产瘢痕妊娠

时间:8年前 (2018-03-02)来源:怀孕期阅读量: 564

导读:

二胎前,你需要了解的事儿–剖宫产瘢痕妊娠-怀孕期

小蝶是一位年轻靓丽的母亲,2年前剖宫产有了一个可爱的女儿,生活幸福。随着二胎政策的放开,小蝶筹划着给幸福的家庭再添新丁。幸福来的很快,两条杠验证了喜悦!3周以后,小蝶突然出现了阴道流血,并伴有下腹部的疼痛,着急的她很快来到了柳铁中心医院检查。看着B超单,陈医生凝重的表情让她心里感觉到了一丝不安。

陈医生告诉她,她的这次受孕很不巧,孕囊并没有在宫腔底部肥沃的土地上生根,而是淘气的着床到了子宫下段原本剖宫产瘢痕的部位,并且薄弱的瘢痕已经出现了明显的外凸,加上已经出现流产的征兆,陈医生告诉她继续妊娠有相当的风险,建议终止妊娠,而且还不能用常规的人流方式来终止,需要手术!心慌慌的小蝶已经是一头雾水了:什么鬼?

陈医生今天就是要给大家科普一下,这是什么“鬼”。

 剖宫产瘢痕妊娠

剖宫产瘢痕妊娠(cesareanscar pregnancyCSP)是一种特殊类型异位妊娠,是源于剖宫产的一种医源性疾病。近年随国内剖宫产率显著上升,CSP的发病率也呈上升趋势。

1.是不是剖宫产之后就一定会出现CSP呢?

当然不是,其实只有少部分人才会在剖宫产之后出现这种情况。目前比较认同的病因是这样的。在初次剖宫产过程中由于感染、内膜异位等等因素导致切口愈合不良,局部的子宫内膜甚至肌层出现裂隙(裂隙较大也叫做憩室);而当下次妊娠受精卵刚好着床于这个裂隙处时,就会导致裂隙处的底蜕膜发育不良,绒毛植入其中,就出现CSP了。

2.那我怎么知道自己会不会是CSP呢?

首先,你得有过剖宫产史;其次,你得确认自己怀孕了,像停经啊、两条杠啊那都是必需的;最后,这个嘛,早期还真没有什么非常特别的地方,可能会出现阴道流血(多不伴疼痛)。所以初诊时误诊率高,常被误诊为宫内妊娠、宫颈妊娠或流产。

3.这么容易误诊,那该怎么办呢?

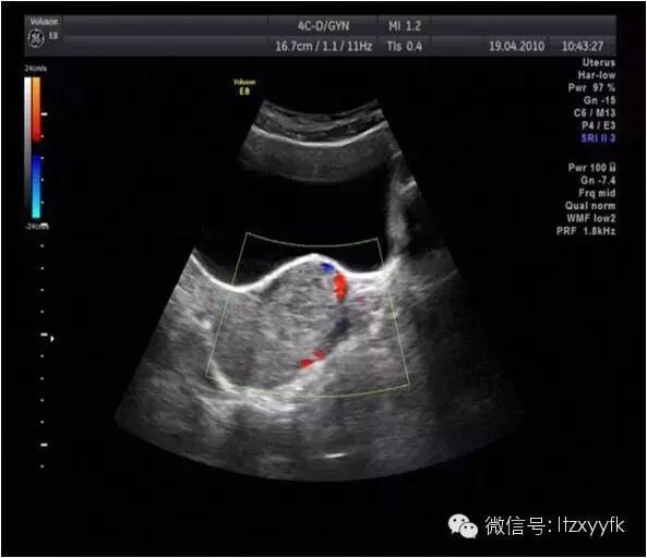
别急,有杀手锏,那就是影像学检查,比如B超、MR等。B超下可以看到向膀胱方向凸起的CSP二胎前,你需要了解的事儿–剖宫产瘢痕妊娠-怀孕期
,简单快捷,但是需要超声医生具一定的经验;

MR就更清楚了二胎前,你需要了解的事儿–剖宫产瘢痕妊娠-怀孕期
,甚至可以了解肌层植入的情况,然而就是太贵了;最后还有更直观的腹腔镜下观二胎前,你需要了解的事儿–剖宫产瘢痕妊娠-怀孕期

4.好了,诊断明确了,那该怎么治疗呢?

关于治疗,那可是说来话长啊。发现这个疾病之初呢,大家并没有什么特别的危险意识,按照常规的人流吸宫的方式来处理,一部分呢,没什么大问题,顺利清除了妊娠组织,出血也不多;但是关键就是有那么另外一部分,手术中就出现了大量的出血,而且常规的止血方法基本没有用,甚至因为这种难于控制的大出血切除子宫的也不在少数。

问题来了,为什么有些人没事儿,有些人大出血呢?原来,CSP还分型,怎么分的呢?

按照妊娠囊凸出的形态分为内生型和外生型。

内生型:孕囊向宫腔内生长,可以继续妊娠,但有大出血危险,妊娠后期发展为凶险型前置胎盘。

外生型:孕囊向宫腔外生长,绒毛往往伴有肌层的植入,早期即可引起子宫穿孔破裂大出血。

明白了分型,就好理解了,内生型是可以通过常规吸宫的方式完整清除掉孕囊的;而如果是外生型,吸宫器械是无法完全清除掉凸向宫腔外的孕囊的,并且由于吸宫等操作导致的绒毛破损、血窦开放,而瘢痕部位又不具备正常子宫肌层强有力的收缩力来关闭血窦,继而发生难以控制的大出血。

后来,治疗方法渐渐的多起来了,也更安全了。比如有先做介入栓塞双侧子宫动脉,然后再清宫的,很好的控制了出血的情况;但如果绒毛植入肌层过深,是很难清除掉的,所以就有了MTX药物杀胚预处理的;但却不能解决瘢痕部位缺陷的修复问题,后续仍有可能再次出现CSP;之后又有了开腹或腹腔镜做妊娠部位切除修复术治疗的。今天,陈医生给你们隆重推出一种集微创、安全、彻底又价廉的好方法:阴式瘢痕妊娠清除术

顾名思义,就是从阴道为入路,打开膀胱子宫间隙,然后完整切除瘢痕妊娠病灶,由于妊娠部位完全暴露并直视操作,即使病灶较大也能很好的控制出血,并且还可以将原本存在缺陷的切口做一个彻底的修复,也不需要做介入栓塞的预处理。当然了,需要有一定的阴式手术基础。话说陈医生也是从中山大学附属第一医院妇科姚书忠教授那里学到这么好的方法的,给姚教授点个赞。

最后,陈医生为小蝶实施了阴式瘢痕妊娠清除术,手术后4天,小蝶就痊愈出院了。不过建议小蝶1年以后再要二胎为好!

二胎时代来临,一胎剖宫产的你一定要留意了。陈医生建议您:

  1. 早孕期6-7周左右可以做一个常规的超声检查,排除异常情况;

  2. 早孕期间如有阴道流血情况,需要及时来医院检查;

  3. 如果您还是第一胎,那在母儿安全的前提下尽量选择阴道产。

祝您好孕!

柳州市柳铁中心医院      

觉得文章不错?长按二维码关注

最新文章

网友跟帖

关于我们 | 联系我们 | 版权申明 | 免责声明1111

本站所收录作品、热点评论等信息部分来源互联网,目的只是为了系统归纳学习和传递资讯!

免责申明:所有作品版权归原创作者所有,与本站立场无关,如不慎侵犯了你的权益,请联系我们告知,我们将做删除处理!

Copyright 2017-2018 怀孕期 版权所有 湘ICP备15012852号