【病例讨论】宫内、宫外一起怀孕?

时间:8年前 (2018-03-13)来源:怀孕期阅读量: 818

导读:

病   史

患者性别:女,年龄:24。
病例特点:
1. 育龄期女性,因“停经39天,下腹隐痛3天,阴道流血一天”入院。
2.末次月经:2015.12.24,3天前患者负重后出现下腹疼痛,呈阵发性隐痛,放射至腰骶部,无肛门坠胀感,伴阴道流血,量少,初为咖啡色,后呈暗红色,无水泡样及肉样组织流出,近2日下腹隐痛,无阴道流血,到我院就诊。
3查体:腹软,无压痛,妇检:宫颈轻度举摆痛。右侧附件区轻压痛,未触及明显包块。
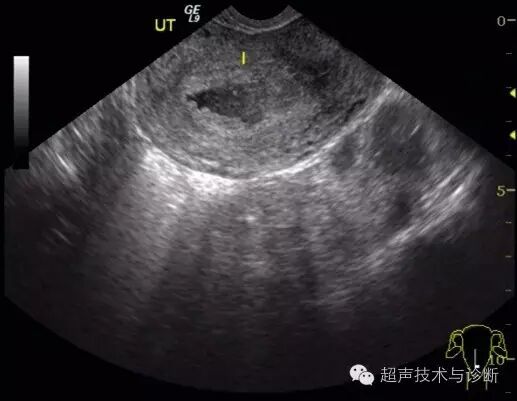
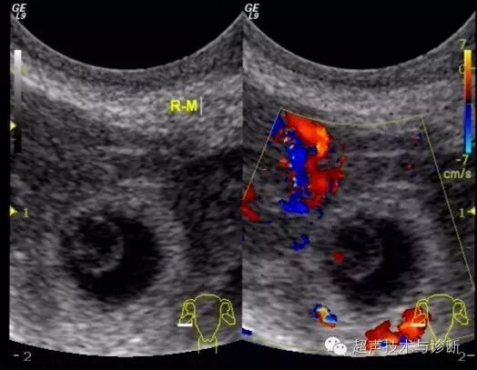
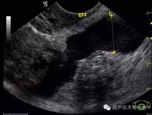
4、超声检查如下(2016。02。01):子宫形态大小正常,宫腔内见一不规则囊性结构,大小4x2cm,透声差,未见双环征及胚芽结构,CDfi未见血流。双侧卵巢可见,右侧附件区可见一囊性结构,大小3x2cm,其内可见胚芽及心管博动。
盆腔扫查见1.4cm积液。


入院血HCG及超声检查图像如下;

【病例讨论】宫内、宫外一起怀孕?-怀孕期
【病例讨论】宫内、宫外一起怀孕?-怀孕期
【病例讨论】宫内、宫外一起怀孕?-怀孕期
【病例讨论】宫内、宫外一起怀孕?-怀孕期
【病例讨论】宫内、宫外一起怀孕?-怀孕期
【病例讨论】宫内、宫外一起怀孕?-怀孕期
【病例讨论】宫内、宫外一起怀孕?-怀孕期
【病例讨论】宫内、宫外一起怀孕?-怀孕期

根据以上病史及检查资料,该患者附件区及宫内囊性结构应分别考虑什么诊断,诊断依据是什么。


病例结果及分析待周五向大家公布,有想法的可以在评论区留言讨论!同时可加入咱们QQ群:165501461参与讨论!

来源及整理:超声技术与诊断(cs-zdx)

超声技术与诊断(cs-zdx)

1. 文章整理自专业图书、期刊及网络,我们只是知识的传播者,请支持正版图书,如若觉得侵犯您的权益请直接微信发送给我们或发邮件至515330743@qq.com。

2. 欢迎分享及转载转载请保留所有信息,包括文章来源及整理人员或平台

3. 投稿请超声群里@群主。

           

最新文章

网友跟帖

关于我们 | 联系我们 | 版权申明 | 免责声明1111

本站所收录作品、热点评论等信息部分来源互联网,目的只是为了系统归纳学习和传递资讯!

免责申明:所有作品版权归原创作者所有,与本站立场无关,如不慎侵犯了你的权益,请联系我们告知,我们将做删除处理!

Copyright 2017-2018 怀孕期 版权所有 湘ICP备15012852号