想怀孕或已怀孕的人千万别去这些地方!有种病毒正在迅速扩散中

时间:8年前 (2018-01-29)来源:怀孕期阅读量: 402

导读:

近期打算出国旅游或者出差的小伙伴注意了!世界卫生组织发布了关于寨卡病毒(Zika Virus)的 全!球!警!告!如果是孕妇 更要当心感染上这种病毒生出的宝宝可能是畸形


寨卡病毒呈全球蔓延趋势

巴西目前是寨卡疫情最为严重的国家。自2015年5月确诊第一例寨卡病毒感染病例后,疫情迅速蔓延,短短8个月内有150万人感染。目前已散播至几乎美洲所有国家,只有加拿大和智利除外。


除了美洲,近期英国、意大利也发现寨卡病毒感染者,这表明病毒已经扩散至欧洲大陆。


这样说来,寨卡病毒似乎也没那么严重,但是千万不可小看它,如果孕妇感染,胎儿可能会受到影响,导致新生儿小头症



△一名巴西男孩抱着一个患有小头症的宝宝


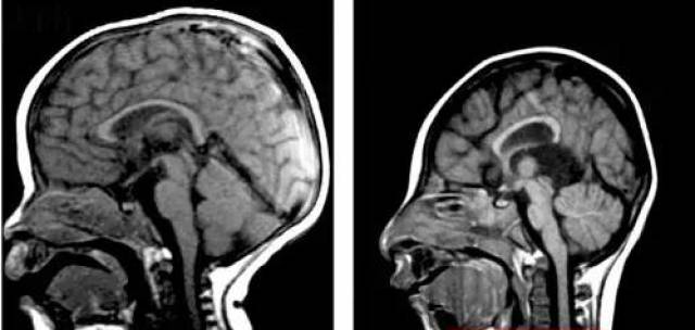
头小畸形症是一种神经发育障碍,患者的智力、行动和视觉会受影响,预期寿命较短。



△正常人的头颅(左)和小头症患者的头颅(右)对比,小头症患者的头颅明显小于常人,完全发育后头围也不超过42厘米。


哥伦比亚、洪都拉斯、厄瓜多尔等拉美多国公开呼吁妇女推迟怀孕,萨尔瓦多建议本国妇女今明两年都不要生孩子。


孕妇不宜去哪些国家和地区?

世界卫生组织已经发出警告,建议孕妇近期不要前往以下22个高危国家和地区,包括巴西、哥伦比亚、萨尔瓦多、法属圭亚那、危地马拉、海地、洪都拉斯、马提尼克岛、墨西哥、巴拿马、巴拉圭、苏里南、委内瑞拉、波多黎各、巴巴多斯、玻利维亚、厄瓜多尔、圭亚那、法属瓜德罗普岛、佛得角、萨摩亚和圣马丁岛

 




△巴西在全国范围内展开灭蚊运动


如果您要是前往寨卡病毒流行地区,切记做好个人防蚊措施。




虽然目前我国还没有寨卡病毒感染的病例报告,但还是要加强对寨卡病毒感染的认识。传播寨卡病毒的蚊子为伊蚊,最爱在室内外犄角旮旯的锅、盆、瓦、罐或坑洼地的积水中孳生,因此要“翻缸倒罐,清除积水”,消灭伊蚊的孳生地


△点击看大图


来源:央视新闻、都市快报

版权归原作者所有,如有侵权请联系我们



太可怕了!赶紧转发给身边需要告知的朋友们吧!


更多精彩请戳↓

实拍!寄生虫在女孩眼球里游动,吓坏几十万网友…这些食物千万谨慎食用想怀孕或已怀孕的人千万别去这些地方!有种病毒正在迅速扩散中-怀孕期

最新文章

网友跟帖

关于我们 | 联系我们 | 版权申明 | 免责声明1111

本站所收录作品、热点评论等信息部分来源互联网,目的只是为了系统归纳学习和传递资讯!

免责申明:所有作品版权归原创作者所有,与本站立场无关,如不慎侵犯了你的权益,请联系我们告知,我们将做删除处理!

Copyright 2017-2018 怀孕期 版权所有 湘ICP备15012852号