甘谷人怀孕了都要去西关泰山庙对面去一下……

时间:8年前 (2018-03-10)来源:怀孕期阅读量: 447

导读:

点击上方蓝色字  免费订阅本账号!


善懿堂因扩大规模,将于本月底搬迁至康庄西路康庄佳苑5号楼3号铺面(永盛家电隔壁),届时各类检测设备更齐全,服务更升级,欢迎广大患者前来就诊!

因业务发展需要,现面向社会高薪招聘护士数名,要求有护士资格证,有工作经验、长期干者优先!

具体情况面议


联系电话:

18093833819

13893496093

18993821428

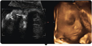
怀   孕了就来善懿堂做四维彩超,这是甘谷准妈妈们都知道的事儿!这不仅仅是因为四维彩超可以准确的为孕妈妈进行身体检查,而且比起普通B超和三维彩超,四维彩超可谓是孕期检查项目中最“靠谱”的了。具体怎么个靠谱法呢?下面我们就一起来了解一下吧!

什么是四维彩超!

四维彩超就是四维成像技术(4D),能直观,立体显示人体器官的三维结构及动态、实时地观察立体结构。主要可以进行胎龄检测、分析胎儿的发育情况、筛查胎儿畸形等。

四维彩超的检查时间是多久?

单胎为怀孕第20—28周,双胞胎为18-22周。因为这个时期的胎儿大小适中,羊水量充足,比较容易采集到相对清晰的图像。

四维彩超与唐氏筛查有什么区别?

四维彩超与唐氏筛查是两个不同的项目,唐氏筛查主要是检测胎儿先天愚型,而四维彩超是看面部、肢体和内脏的情况有无畸形,所以,两者都很重要,不要混为一谈。如果您还有其它疑问,可直接在下方留言,我们会及时为您解答!

四维彩超动图欣赏

麻麻,我在咬手指哟!

好困,打哈欠

揉眼睛

麻麻,我在挠耳朵

嚯嚯~打拳啦!

甘谷四维彩超,骨密度检测,清晰度高,显示准确,受到了患者的一致好评。



四维彩色超声诊断仪出色的人体工程学设计,不存在射线、光波和电磁波等方面的辐射,对人体的健康没有任何影响。



提供了包括腹部、血管、乳腺、甲状腺等小器官、泌尿科、产科、妇科、胎儿等多领域、多方面的应用,是目前世界上最先进的彩色超声设备。


给我一份信任  还您一身健康!


健康热线:

18093833819

13893496093

18993821428


地址:

甘谷县西关泰山庙正对面


善心仁施,

中西各司。

懿德高风,

济济一堂。


甘谷骨密度检测


骨质疏松作为常见病、多发病,目前已经成为全球性公共健康问题。因此,联合国将1999年定为“国际老龄年”,并将每年10月20日定为“国际骨质疏松日”,我国已将骨质疏松与糖尿病、老年性痴呆一起列为三大重点攻克医学项目。骨质疏松在早期一般没有症状,故被称为“无声无息的流行病”,所以定期检查骨密度对防治骨质疏松非常必要。





适宜人群


(1)女性65岁以上和男性70岁以上,无其他骨质疏松危险因素者。


(2)女性65岁以下和男性70岁以下,有1个以上危险因素者(绝经后、吸烟、过度饮酒或咖啡、体力活动缺乏、饮食中钙和维生素D缺乏)。


(3)有脆性骨折史或脆性骨折家族病史者。


(4)各种原因引起的性激素水平低下者。


(5)X线显示骨质疏松改变者。


(6)接受骨质疏松治疗需要进行疗效监测者。


(7)有影响骨矿代谢的疾病(肾功能不全、糖尿病、慢性肝病、甲状旁腺亢进等)或服用可能影响骨矿代谢的药物(如糖皮质激素、抗癫痫药物、肝素等)者。


(8)孕妇在孕期3、6个月各测骨密度一次,以便及时补钙




联系地址:

甘谷县西关泰山庙对面


联系电话:

18993821428

13893496093

合作电话:18093895235

 微信客服:gangu8866

点击下方阅读原文进入甘谷便民社区
↓↓↓
最新文章

网友跟帖

关于我们 | 联系我们 | 版权申明 | 免责声明1111

本站所收录作品、热点评论等信息部分来源互联网,目的只是为了系统归纳学习和传递资讯!

免责申明:所有作品版权归原创作者所有,与本站立场无关,如不慎侵犯了你的权益,请联系我们告知,我们将做删除处理!

Copyright 2017-2018 怀孕期 版权所有 湘ICP备15012852号