【名医推荐】惊险!这名孕妇宫内宫外合并怀孕险丧命,我院及时成功救治!

时间:8年前 (2018-03-16)来源:怀孕期阅读量: 356

导读:

近日,我院收治了一名特殊的孕妇,有多特殊?

我院妇产科周萍主任(东莞市妇幼保健院两癌筛查中心主任,目前为我院的常驻专家并聘任为妇产科主任)表示,这种病例发生的概率可能是千万分之一也不为奇,这是一名宫内和宫外同时怀孕的特殊妈妈

张小姐来自河南,在寮步工作,已是一名3岁孩子的母亲,因为停经50多天了,11月18号到某镇的社卫做阴道B超,发现宫内怀孕并且还打了安胎针(并未发现宫外怀孕),过了两天20号当天感觉不适,再去社卫复查,有少量出血,怀疑先兆性流产,医生便建议去大医院接受检查。

因为张小姐之前听闻我院妇产科的周萍主任是东莞市妇幼保健院常驻专家之一,所以一大早进匆忙和她老公一同来到我院接受进一步检查。

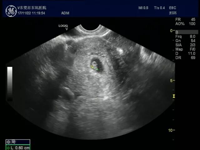
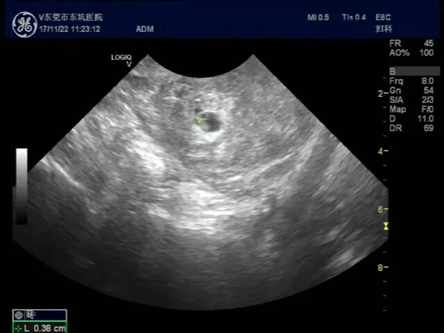
经过周主任的检查以及我院B超的详细排查,发现张小姐不仅是宫内怀孕了,宫外居然也怀孕了,周萍主任也表示在大医院从医这么多年,自然怀孕下,宫内外同时怀孕非常罕见,同时,还出现了宫外孕引起的腹腔内大出血。

     宫内怀孕B超图           宫外怀孕B超

考虑到已经大出血,情况非常危急,孕妇随时都有生命危险,经过紧急的讨论后,周主任指示目前已有明确手术指征,立马送手术室紧急手术。

手术由周萍主任、岑振考副主任和陈方耿医师一同进行,手术时间持续不到一个小时就顺利结束了。

在场医护人员都松了一口气,开刀后发现张小姐盆腔已经足足出了1000ml血,随时会因为失血过多死亡的。幸好手术及时,才把她从边缘拉了回来。

心得

张小姐术后恢复很快,住院7天后就健康回家了。她表示,非常感激和感谢妇产科的医务人员,从入院、会诊到手术结束,仅仅用了3个小时,也大赞我们东坑医院的医术精湛,现在不仅有东莞市妇幼保健院常驻专家的坐镇,新的住院楼环境也优美,让人感觉安心舒心。

今年10月份,我院与东莞市妇幼保健院正式成为“技术合作医院”,通过两院开展技术合作,市妇幼保健院分批将精英专家团队派驻我院实现我院妇产科整体医疗技术的提高,让技术合作医院成为当地乃至周边镇街老百姓真正受益的平台,可以足不出镇就能享受到三甲医院专家团队高水平、高质量的医疗服务。


妇产科健康咨询热线:0769-83860661

妇产科

简介

东坑医院妇产科拥有优质的专家医疗团队,目前医护人员约41人,医生有15名,多名临床经验超过10年医护人员,并配有先进医疗设备、安全舒适的医疗环境。

我们提倡自然分娩的前提下并开展无痛分娩、疤痕子宫阴道分娩,已有非常丰富的临床经验对妊娠期高血压、妊娠期糖尿病、难产、产后出血、新生儿窒息复苏等各种产科急危重症亦具有丰富的治疗方法。多年来,在我院生宝宝的孕妇较多都能成功阴道自然分娩,减少剖宫产对孕妇和婴儿的损害,更大程度上保护宝妈们的身体健康,能尽快的投入到生活中。

干净整洁的环境

温馨舒适的待产房

温馨产房

先进的医疗设备

最新文章

网友跟帖

关于我们 | 联系我们 | 版权申明 | 免责声明1111

本站所收录作品、热点评论等信息部分来源互联网,目的只是为了系统归纳学习和传递资讯!

免责申明:所有作品版权归原创作者所有,与本站立场无关,如不慎侵犯了你的权益,请联系我们告知,我们将做删除处理!

Copyright 2017-2018 怀孕期 版权所有 湘ICP备15012852号