【FAWA案例】当“怀孕”遇见“踝关节骨折”

时间:8年前 (2018-03-12)来源:怀孕期阅读量: 721

导读:
点击上方“公众号”可以订阅哦!
当“怀孕”遇见“踝关节骨折”
一位年轻母亲怀孕7个月的时候

突然摔了

所幸,宝宝没事

可是母亲的右踝却肿痛起来
母亲自知可能骨折了,但是为了腹中的孩子,甚至连X线检查都没有做,而是忍受疼痛,继续孕育孩子……

现病史
患者于2013年3月不慎跌倒,致伤右踝部肿痛、畸形,活动受限,当时无昏迷、呕吐。
分娩中……

宝宝顺利分娩

产后3个月
母亲才到当地医院拍片
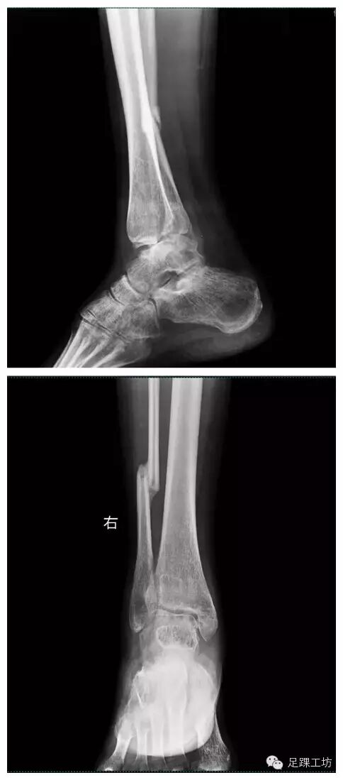
X线

后辗转至广州某三甲医院进行了全面影像学检查
CT重建

MRI

该院行右踝部陈旧骨折、脱位手术治疗,术后患者右踝部仍有疼痛、活动受限。
患者现在慕名而来看您的门诊:
大体照片:

放射科按照您的吩咐进行了系列检查:
MRI

CT

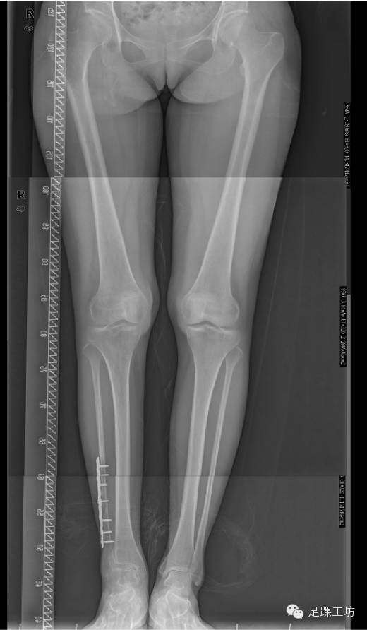
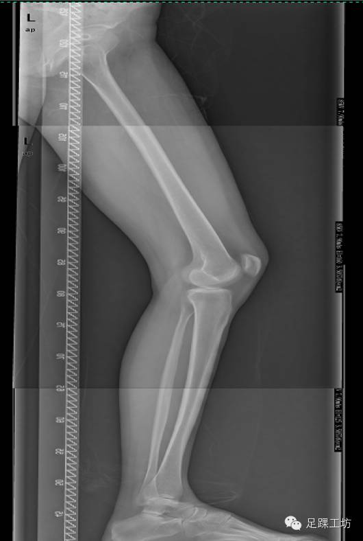
下肢全长X线

查完体看完影像学资料,您的脑海里闪过三个问题:
1,患者摔倒当时的诊断应该是什么?
2,患者产后初次就诊时的诊断?如果当时是您接诊会如何处理?
3,目前站在您面前的这位患者诊断如何?您打算怎么办?
赶快将您的意见通过以下途径发给我们吧:
1、直接回复到足踝工坊微信平台
2、邮件至dr_workshop@163.com
3、加微信WillWeThink留言
您的意见有机会和当家的意见一起分享给大家哦!
足踝联盟 FAWA


足 踝 工 坊
微信号:FnA_Workshop
长按识别二维码
关注我们


足不出户、知己同踝


足踝医生的平台
踝工坊
微信号:FnA_Workshop
网址:www.drworkshop.com
邮箱:dr_workshop@163.com

最新文章

网友跟帖

关于我们 | 联系我们 | 版权申明 | 免责声明1111

本站所收录作品、热点评论等信息部分来源互联网,目的只是为了系统归纳学习和传递资讯!

免责申明:所有作品版权归原创作者所有,与本站立场无关,如不慎侵犯了你的权益,请联系我们告知,我们将做删除处理!

Copyright 2017-2018 怀孕期 版权所有 湘ICP备15012852号