备孕 | 内膜更重要

时间:8年前 (2018-03-06)来源:怀孕期阅读量: 699

导读:

作为妊娠的“土壤”,子宫内膜的情况会直接影响妊娠结局,所以在我们的报告中会详细描述:内膜的厚度、分型、内膜连续性及宫腔内有无占位。内膜厚度大家从报告中就能直接看到数字,就不赘述了。

内膜的分型主要包括A、B、C三型,简单来说就是

A型内膜常见于内膜增生早期(月经6-10日),此时内膜厚度一般为4-9mm,能明显看到宫腔内有三条线,即外层和中央为强回声线,外层和宫腔线间为低回声区。

B型内膜常见于内膜增生晚期(排卵前后),排卵时内膜厚度约为9-12mm,为均一的中等强回声,宫腔强回声中线断续不清。

C型内膜常见于黄体期(即排卵后到下次月经来潮前),厚度约10-14mm。为均质强回声,无宫腔中线回声。


内膜分型是个不断变化的过程,所以各位病友不必太纠结分型。只要知道胚胎移植时内膜的厚度至少能达到7mm,分型可能A或B型会更好一些。还有一种就是月经期来做B超时宫腔内还有积血,所以宫腔会有分离,这时我们报告里会描述宫腔分离多少,单层内膜厚多少。

A型内膜

B型内膜

C型内膜

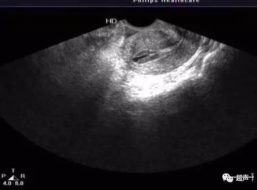
宫腔分离

讲完了分型,接下来我们来谈谈内膜连续性。有些病友之前可能还不想早早地当妈妈,所以意外怀孕后选择去做人工流产。人工流产毕竟是一种侵袭性的手术,对子宫内膜多少有点伤害,有些病友就是因为做过人工流产后,内膜厚度长不上去,宫腔也会粘连,这些都是对妊娠有很大影响的,所以我也再次提醒大家慎重选择人工流产,尽量做好有效的避孕措施。

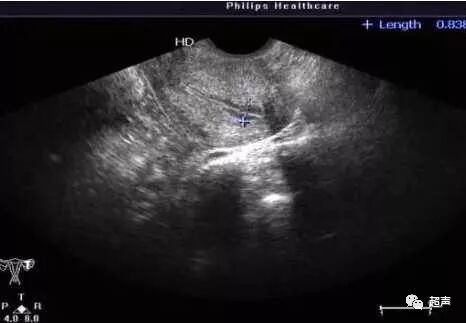
子宫内膜息肉可能

关于内膜,最后我想说的是占位性疾病,良性占位包括内膜息肉和粘膜下肌瘤(即报告中写的内膜内见的各种回声),恶性占位就是子宫内膜癌,此时B超多表现为内膜增厚,宫腔内有赘生物。所以作为女性我们要时时关注我们的子宫内膜,太薄太厚都不好。

最新文章

网友跟帖

关于我们 | 联系我们 | 版权申明 | 免责声明1111

本站所收录作品、热点评论等信息部分来源互联网,目的只是为了系统归纳学习和传递资讯!

免责申明:所有作品版权归原创作者所有,与本站立场无关,如不慎侵犯了你的权益,请联系我们告知,我们将做删除处理!

Copyright 2017-2018 怀孕期 版权所有 湘ICP备15012852号