子宫腺肌症:一个不孕症病人接受磁波治疗后自然怀孕并足月顺产

时间:8年前 (2018-01-31)来源:怀孕期阅读量: 422

导读:

分享一篇最近学习的医学文献:

一个36岁的不孕症女性,月经量过多,B超发现子宫上有一个84立方厘米的子宫肌瘤。

本来打算做手术切除子宫肌瘤,结果术前做核磁共振检查,发现子宫上的瘤子根本不是肌瘤,而是腺肌症。

诊断被修正,医生改动治疗计划,取消手术,通过核磁共振引导的超声聚焦治疗(MRgFUS,国内简称磁波治疗)针对子宫腺肌症的大部分病灶进行了消融。

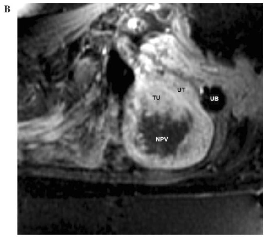
磁波治疗过程顺利,治疗后有33立方厘米的病灶被消融,不再有血流灌注(NPV),

治疗后6周,病人月经过多的问题得到明显缓解,子宫腺肌症病灶的体积缩小了大约50%。

来过三次月经之后,多年不孕的她竟然自然怀孕,孕期平顺,足月顺产了一个健康宝宝。

A:治疗前的核磁共振显像,TU:子宫腺肌症病灶

B:治疗前的核磁共振显像,NPV:(磁波治疗后被消融的)无灌注体积


医生分享:


1,核磁共振检查没有放射线辐射,安全,无创,是诊断子宫腺肌症的金标准。

2,如果是单纯的子宫肌瘤,可能出现月经过多,如果合并严重的痛经,需要进一步与子宫腺肌症进行鉴别。同时进行三合诊检查,排除是否合并深部浸润型子宫内膜异位症(DIE)。

3,磁波治疗能够精准、高效地消融子宫肌瘤和子宫腺肌症病灶,是保留子宫的无创治疗的新途径。

4,磁波治疗全程核磁共振定位,精准、有效打击病灶,保护正常子宫肌层和内膜,保留子宫的同时不破坏生育功能,甚至可以改善一部分病人的生育能力。

5,美国FDA已经批准磁波治疗用于有生育计划的有症状的子宫肌瘤病人,这也为探索子宫腺肌症保留生育功能的消融治疗提供了新思路。

6,子宫腺肌症的磁波治疗比肌瘤复杂得多,治疗前需要做药物预处理的病人比例高,而且磁波只能集中消融大块腺肌症病灶,子宫肌层其它部位可能仍然残存星星点点的细小病灶,子宫以外可能合并盆腔子宫内膜异位症。所以术后仍需配合曼月乐,或者口服避孕药,或者皮下埋植剂等长期维持治疗。

7,治疗过程示意图:病人趴在磁共振机器上就像“烤电”一样,治疗过程大概3-5小时,治疗后休息一小时就能走路回家。

扩展阅读:协和张羽:不开刀也能治疗子宫肌瘤

诊前须知:痛经、子宫内膜异位症和子宫腺肌症

英文文献原文链接:

https://www.ncbi.nlm.nih.gov/pubmed/16410334

女性一生的幸福取决于知识的加持!关注“协和张羽”的微信公共号,一起学习靠谱的女性健康知识,大力转发朋友圈,让伪科学和养生谣言无处藏身。

了解更多女性健康科普

  • 吸取健康新知
    创建健康生活

关注【协和张羽】更多科普

  • 张羽副主任医师

  • 北京协和医院

  • 北京华府妇儿医院

  • 主攻:子宫肌瘤、腺肌症、内膜异位症的保守治疗

点击阅读原文,好大夫在线每天都有免费义诊咨询,苹果手机打赏看这里:


最新文章

网友跟帖

关于我们 | 联系我们 | 版权申明 | 免责声明1111

本站所收录作品、热点评论等信息部分来源互联网,目的只是为了系统归纳学习和传递资讯!

免责申明:所有作品版权归原创作者所有,与本站立场无关,如不慎侵犯了你的权益,请联系我们告知,我们将做删除处理!

Copyright 2017-2018 怀孕期 版权所有 湘ICP备15012852号