输卵管碘油造影,二胎路上的“急救兵”

时间:8年前 (2018-03-10)来源:怀孕期阅读量: 607

导读:



愿你像颗种子,

勇敢地冲破泥沙,

将嫩绿的幼芽伸出地面,
指向天空。


孩子是上天赐予的最好礼物


本文作者: 渭南市二院 李凯

无锡三院介入科 杨飞

责任编辑:郑州大学一附院 王艳丽  

美编:MARS

随着全面二孩政策的实施,很多备孕生二胎的夫妻已经怀孕生子,有的先知先觉,甚至是在二孩政策开放当天二胎就降生啦。

遗憾的是,有些夫妻备孕了一年多甚至更长的时间,迄今依然没有怀上。为什么怀第一个孩子很顺利,想生二胎却怀不上了呢?医生会让您行输卵管造影检查。输卵管是什么?

输卵管被人们形象地称为“生命之路”,她是精子和卵子结合的必经之路。精子从阴道进入宫腔以后,经过输卵管的输送,在壶腹部等待着卵子。卵子通过输卵管的小手(伞端)拾取卵子,也经过输卵管的输送,来到壶腹部与精子约会,结合形成受精卵。受精卵同样需要输卵管的输送,才能回到宫腔着床。

点击边框调出视频工具条
 

输卵管的结构和功能

据统计因输卵管不通而引起的女性不孕中约占50%,是导致女性不孕不育的重要原因。

那么,输卵管造影,是个什么样的检查呢?介入科,您需要来找介入医生帮忙诊断哦。

 

下面我们就要来聊聊介入造影诊断那些事!

什么人需要做输卵管造影呢?

1、不孕症:有正常性生活,且一年未怀孕的女性。

2、畸形诊断:子宫畸形如双角子宫、纵隔子宫等。

3、粘连诊断:宫腔粘连、宫颈粘连等。

4、曾经历过人工流产清宫术或自然流产的患者。

5、曾有下腹部手术史,如阑尾切除术、剖宫手术。曾有盆腔炎史如淋菌感染、产褥感染。

为什么要做碘油造影呢?

如果输卵管闭塞了,女性卵巢排出的卵子不能在输卵管远端和精子相遇,精卵不能结合成受精卵,或者受精卵不能通过输卵管这个狭长的通道顺利到达子宫,这就是输卵管原因导致的不孕症了。

碘油造影又称子宫输卵管碘油造影,是检查子宫输卵管最方便经济无创的方法。在女性不孕中,子宫输卵管因素约占50~60%(很高的比例啊!)。精子和卵子在输卵管壶腹部相遇形成受精卵,然后依靠输卵管的蠕动和管腔内纤毛的摆动将受精卵送回宫腔。而胚胎的着床胎儿的孕育都是在子宫腔内完成,因此了解输卵管的通畅程度是不孕症诊治的重要步骤。

实时动态子宫输卵管

碘油造影是怎么做的呢?

实时动态子宫输卵管碘油造影是将传统的造影改良,使患者无痛,将球囊导管置入宫颈内口,注入液体充盈球囊堵住宫颈内口后,将碘化油经导管缓慢注入宫腔,在X光透视下,动态观察碘油逐渐膨胀宫腔,流入输卵管,经伞端流入盆腔的全过程。在操作后的12~24小时,再拍一张延迟涂抹片,观察碘油在盆腔内的弥散情况。

看完了还是没懂?没关系,看看视频就知道了。

点击边框调出视频工具条
 

子宫输卵管碘油造影的优势?

输卵管碘油造影具有损伤小、准确率高等特点,而且还具有一定的治疗作用,是目前用来了解输卵管是否通畅及通畅的程度和具体堵塞部位的最常用的检查方法。在许多方面是超声、CT、核磁、宫腔镜、腹腔镜、输卵管镜等无法替代的。

碘油造影前的注意事项

很多女性朋友非常关心碘油造影前的注意事项,那我们今天就说一说吧!

1、造影检查的时间选择:月经干净3-7天。

2、准备造影的这次月经后至造影前不能同房,造影后当月也不要同房。

3、三个月内没有做过宫腔手术(例如:人流,诊刮,取内膜等)。

4、造影当日可以正常饮食,可以吃饭,也可以喝水,同平时一样一样滴。

5、做造影后可能会有少许出血,所以卫生巾有备无患哦。

片子结果究竟怎么样,通没通?

造影的时候,几乎所有的人都会马上追着问,“大夫,我通不通?”。大夫都会告诉你,要等延迟涂抹片出来才可以确定。那什么是“延迟涂抹片”呢?这个东西真的非常非常重要,一切不做延迟涂抹片的造影都是白做。

延迟涂抹片就是在造影操作后(如造影剂用的是碘油,则为术后12-24小时,如造影剂用的是碘水,则为术后10-40分钟内),在盆腔再照一张X光片,观察盆腔内碘油弥散情况。

如下图所示,这是一张正常的延迟涂抹片,碘油在盆腔内均匀弥散。

↓下图是输卵管积水的延迟片:

延迟涂抹片对于最后确诊输卵管的状态非常重要,如果没有,会影响输卵管诊断的准确性!

碘油造影后的注意事项

1.造影后禁盆浴及性生活两周,给予抗生素预防感染。

2.有时因输卵管痉挛造成输卵管不通的假象,必要时重复进行。

3.造影检查后一周内有少量阴道出血如无其它不适属正常现象,如出血量较多超过月经量或有其它不适,及时与医生联系。

输卵管造影疼不疼?

每一位准备做造影的女性,最害怕的就是“疼”,未知的关于疼痛的恐惧紧紧的揪着她们的心,所以这也是我们听到最多的问题。那么到底有多疼呢?

每一个人关于疼痛的阈值是不一样的,有的人手指割破了会疼的哇哇乱叫,有的人生孩子那么个过程都觉得还好。虽然人和人有那么大的不同,但是疼痛一来就会让大家恐惧害怕,还可以影响到输卵管造影的准确性(啊?还有这事儿),这是真的!

在做造影的时候,疼痛可以造成输卵管的痉挛,碘油无法通过输卵管,会被诊断为“输卵管不通”,而实际上输卵管没事。诊断为“输卵管不通”的女性拿着这样的结果,接下来只有一条路了,做试管,而实际上只是输卵管痉挛而已。

事实上,很多输卵管畅通无阻的女性,在造影的时候也会有疼痛感。而很多不畅或堵塞的患者,在造影时也可能感觉不到疼痛。这也因人而异的,个体差异很大。大多数姐妹的感觉是:“有一点胀,就像痛经,但绝对在可以忍受的范围内。”而疼的“死去活来”,那是极少数。我们提倡人文关怀,不管是为了缓解疼痛的主观感受,还是为了减少痉挛导致的误诊,我们都会做一些术前镇痛预处理和术中局部镇痛处理。

造影对人体有害么?

做完造影什么时候可以要孩子?

一般来说,做造影的X光量是很小的,远远小于致畸的X光剂量,而输卵管碘油造影本身除了是一个检查,还可以起到润滑、冲刷、疏通输卵管的作用,可以疏通输卵管轻度粘连。除特别叮嘱以外,一般建议做完碘油造影的第二月就可以积极试孕。

  

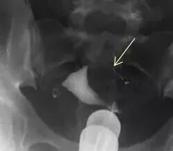
这个患者双侧细线状的输卵管都没看见,这就是阻塞了,那怎么办呢?

对于输卵管梗阻或假性梗阻,介入医生可进行选择性输卵管造影(SSG)、输卵管再通术(FTR)及输卵管腔内药物灌注术进行明确诊断或治疗。

选择性输卵管造影 是将导管经宫颈直接插入输卵管开口注入造影剂,提高诊断效果,并可利用流体静压直接作用于输卵管而起到治疗作用,使某些粘液栓子、细胞碎屑及其他分泌物被挤出和排出;

输卵管再通 通过疏通微导丝和疏通微导管的机械运动对输卵管腔内粘连进行松解、分离,并对狭窄部位进行扩张。轻轻地,5-10分钟,闭塞的输卵管开通啦。同时经微导管向直接向输卵管腔内灌注抗炎和防止粘连类药物,

使病变局部有效药物浓度明显提高。同时可配合口服或静脉点滴中成药、下腹部外敷药物,直肠给药或理疗。疗效更佳。

不孕症的原因复杂,如果尝试各种治疗后仍不能怀孕,也许需要试管婴儿。现代医学可以检测女性卵巢的排卵情况,并通过技术手段将卵子取出,完成体外受精,然后将胚胎放回子宫使妈妈受孕。

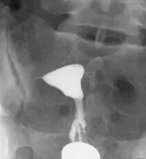
但是在以下情况中试管婴儿常常失败。这位女性因不孕症准备做试管婴儿,医生为她做了子宫输卵管造影,发现她的双侧输卵管远端非常扩张,这是什么问题?


原来这叫输卵管积水,慢性炎症是导致输卵管积水的原因。这种情况下,输卵管内的积水会流回宫腔,破坏宫腔怀孕的环境,试管婴儿失败!怎么办?

介入医生有办法。将导管选择进入积水的输卵管内,将一根带有纤毛的栓塞圈放入输卵管近端,不让有害的积水返流入宫腔,不让它影响胚胎的着床。

造影发现积水的输卵管看不见了,输卵管已经被堵塞,输卵管远端积水不能进入子宫。这时,可以安心的实行试管婴儿,等待着当妈妈吧!

当她沉睡时

他正走在溶雪的小镇上

渴念着旧日的

星群 并且在

冰块互相撞击的河流前 

轻声地

呼唤着她的名字

而在南国的夜里

一切是如常的沉寂

除了几瓣疲倦的花瓣

因风 落在她的窗前

窗外风雪再大

也有我陪伴着你

——慕容席

《溶雪的时刻》

END

杨飞

无锡三院介入科 

李凯

渭南市二院

世界上最珍贵的勇气是相信奇迹。岁月送给我磨难,同时也赠与我清醒与坚定。理智地权衡利弊,精准治疗,适合自己的就是最好的。微笑,虽然历经磨难,仍然动人心扉。美丽,尽管饱经创伤,仍然毫发无损。记得微笑,记得为自己骄傲。        

              ——王艳丽 郑州大学第一附属医院



关注我们

一起为妇儿健康遮风挡雨


「当介入遇上玫瑰与小豆丁」专注于传播与普及介入医学在女士和儿童健康方面的应用知识,让每一位女士与儿童因我们的耕耘而受益,是我们的小目标。


公众号由郑州大学第一附属医院王艳丽医生(中华放射学会介入专委会妇儿常委、中国抗癌协会肿瘤介入分会儿科专委会委员、河南省医学科普学会介入专委会常委兼秘书长、中国医疗保健国际交流促进会介入诊疗学分会委员),广州市妇儿中心张靖医生(中华放射学分会儿科副主委、中华放射学会介入专委会妇儿主委、中国抗癌协会肿瘤介入分会儿科专委会主委),韩新巍医生(863首席科学家、中原学者、河南省医学科普学会介入专委会主任委员、中国医疗保健国际交流促进会介入治疗学分会副主任委员)联袂推出。

最新文章

网友跟帖

关于我们 | 联系我们 | 版权申明 | 免责声明1111

本站所收录作品、热点评论等信息部分来源互联网,目的只是为了系统归纳学习和传递资讯!

免责申明:所有作品版权归原创作者所有,与本站立场无关,如不慎侵犯了你的权益,请联系我们告知,我们将做删除处理!

Copyright 2017-2018 怀孕期 版权所有 湘ICP备15012852号