【头条】中年男子疑怀孕,疑凶原来是盆腔肿瘤

时间:8年前 (2018-01-29)来源:怀孕期阅读量: 354

导读:

【头条】

广东阳江的陈叔今年58岁,身体一直很硬朗。一年前发现自己总是想小便,每天跑厕所好多次,有时候开车出去办事情一会儿功夫就要停车去小便几次,生活实在是不方便。

偏信中药耽误病情 男子大肚隆起似“怀孕”

有一个自己多年的好朋友是中医科医生,把情况说给他听后他判断是尿道感染了,多喝水及开了一些中药服用,别说这个方法还真实管用,跑厕所的次数明显减少了。但吃了一阵子中药后情况又有反复,就继续在朋友那里开中药吃。半年前有天晚上发现自己的小腹有点突起,摸上去里面硬硬的,第二天赶紧去找他的朋友看,他的开诊所的中医朋友说可能是膀胱里面长了结石,只要坚持吃他开的中药一定能够消掉的,又吃了半年中药感到症状是有所好转,但小腹的突起继续在增大。因为陈叔身体比较瘦小,突起的小腹类似怀孕6个月的孕妇了。他的家人看到后很担心,催他一定要到大医院检查一下,到医院做了核磁共振后可是把他和家人都吓了一大跳,原来是小腹被一个巨大的肿瘤占据了,从片子上看盆腔内肿瘤占据的周围一点空隙也没有。

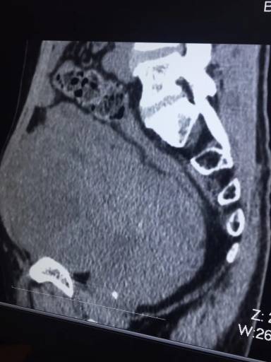
陈叔的核磁共振检查片

经过术前充分准备及讨论评估后,阳西县人民医院技术总监、暨南大学附属第一医院普外科高明副主任医师主刀给陈叔做了手术,术中发现肿瘤在腹膜下方占据了整个盆腔,把膀胱挤压在肿瘤顶上严重变形,把尿道压迫积压在盆壁右侧,固定不能推动,经过艰苦的努力最后终于把肿瘤完整切除并修复了被肿瘤侵犯的膀胱及尿道,手术很顺利,困扰陈叔的肿瘤终于被拿掉了。陈叔及家人这几天甭提多开心了。

据阳西县人民医院技术总监、暨南大学附属第一医院普外科副主任医师高明医生介绍:在解剖学上,盆部是由盆腔腹膜包绕的部分(与腹腔相通)及盆腔腹膜外的部分(与腹膜后间隙相通)构成的。就是平时所说的“小肚子”。盆部原发性肿瘤起病往往很隐匿,通常病人经常因为症状不典型而延误就诊,有时候需要4~6 个月甚至 4~5 年之久才得到正确诊断,因此肿瘤有足够长的时间长的很大。陈叔切除的这个肿瘤长径有20多公分,可不把盆腔塞的满满的。

手术照片

图为切除物

不明原因“大肚”应警惕 积极检查才能早期发现

阳西县人民医院技术总监,暨南大学附属第一医院普外科高明医生介绍说:“盆腔原发肿瘤根据其组织和胚胎发生来源分为四种类型:(1) 间叶组织源性肿瘤;(2)尿生殖源性肿瘤;(3)神经源性肿瘤;(4)生殖细胞源性肿瘤,另有约 10 %的肿瘤不能分类。源于盆腹膜外肿瘤最多见的是间叶源性肿瘤,其次如胚胎残余源性肿瘤等。肿瘤大多表现为实性软组织肿物,但可发生变性坏死、囊变、钙化等。”

B超、CT与 MRI等影像学检查对盆腔肿瘤发生的部位、良恶性以及肿瘤累及范围大多能作出正确判断,为临床选择合理的治疗方案提供依据。 高明医生建议一旦发现自己不明原因的盆腔肿块都应积极检查,明确病因,早期治疗。

高明

阳西县人民医院技术总监、特聘专家,暨南大学附属第一医院普外科副主任医师,临床医学在职博士。广东省内多个医学协会会员,从事临床工作近30年,主持多项省级以上科研项目,核心期刊发表论文30多篇。

专长:擅长各种普外科疾病的微创外科手术及常规手术。

业务范围:

1、胃肠外科疾病(直肠癌、结肠癌、胃癌、小肠肿瘤、粘连性肠梗阻、阑尾炎、痔疮、便秘、肛瘘等疾病的诊断和治疗)。

2、肝胆胰外科疾病(肝癌、胆道肿瘤、胆石症、急慢性胆囊炎、胰腺肿瘤、急慢性胰腺炎的诊断和治疗)。

3、甲状腺及下肢血管疾病(甲状腺功能亢进、结节性甲状腺肿及其他甲状腺良恶性肿瘤及大隐静脉曲张等疾病的诊断和治疗)。

4、腹股沟斜疝、直疝、股疝、腹壁切口疝等的微创手术治疗。

阳西县人民医院特聘专家高明教授出诊时间:每月第一、第三周星期五下午专家门诊坐诊,星期六、日手术。

如有需要请到阳西县人民医院二楼专家门诊高明特聘专家工作联系室办理预约。

预约电话:5880380   诊室:专家门诊15号诊室

邮箱:jdfsyy@163.com  网址:jd120.com

坐诊时间:每月第一、第三周星期五下午

           如因特殊情况另行通知

最新文章

网友跟帖

关于我们 | 联系我们 | 版权申明 | 免责声明1111

本站所收录作品、热点评论等信息部分来源互联网,目的只是为了系统归纳学习和传递资讯!

免责申明:所有作品版权归原创作者所有,与本站立场无关,如不慎侵犯了你的权益,请联系我们告知,我们将做删除处理!

Copyright 2017-2018 怀孕期 版权所有 湘ICP备15012852号