二胎妈妈怀上“美人鱼”,得知真相后所有人都沉默了…

时间:8年前 (2018-02-28)来源:怀孕期阅读量: 631

导读:


       美人鱼,童话故事里的主角,这是一种很神奇的生物,它的上半身长得和人类一样,但是它没有双腿,在本来有双腿的地方长出了鱼尾巴。可是,当出现在我们现实生活中时,却是让人非常绝望。

       在医学上,有一种罕见的病症叫做美人鱼综合症,胎儿的两条腿紧密结合,看上去就像是美人鱼的尾巴。

欢天喜地,迎来的是条“美人鱼”

       27岁的小美(化名)和相爱多年的男友结婚一年后,一个小生命的悄然到来,给整个大家庭送上了一份惊喜,他们俩感觉太幸福了。然而不幸的事情发生了:小美孕25周超声检查发现胎儿下肢无双腿,双下肢合并外形似鱼尾状,这是一种非常罕见的多发性畸形,双下肢合并外形似鱼尾状,俗称“美人鱼综合症”。

无独有偶

       去年一位40岁的二胎妈妈在一次常规的产检中,发现胎儿下肢是两个大腿骨, 并行排列 ,小腿骨好像有点交叉 。正常胎儿的下肢是不停地在妈妈肚子里动的, 呈现一个外八字,后来确诊为美人鱼综合症。因为多数患病的新生儿出生后,只能存活几个小时,就算活下来,也要接受多次手术治疗。

什么是美人鱼综合症?

       美人鱼综合症是一种极其罕见的先天性下肢畸形疾病,患者由于血液循环系统在子宫中没有正常发育,从而导致她们的肾脏和其他器官也没有发育完整,他们可能天生就缺失膀胱、子宫、结肠大部分肾脏等多个器官。美人鱼综合症患病几率与连体婴差不多,但夭折率却高得多,因为大部分婴儿天生缺少肾脏之类的重要器官。

       目前全球只有两名美人鱼综合症的幸存者,一位是秘鲁女童米拉格罗斯·塞伦,另一位是佛罗里达州女孩蒂芬妮·约克斯,这两位“小美人鱼”由于重要器官均健康,双腿有各自的供血系统,成功接受了分离手术。但是目前在中国2006年的一例美人鱼患者仅存活了12天。 

“美人鱼综合症”病因仍是迷

       美人鱼的患病率为1/100000~1/60000,关于其病因至今仍是个谜,但医学专家认为可能和遗传基因有关,每个人都有2万到2.5万个基因负责控制身体结构和化学代谢,任何一个基因出现问题,都会导致先天性发育缺陷。由于血液循环系统在子宫中没有正常发育,所以他们的的肾脏和其他器官也难发育完整,生存下来也是堪称奇迹。

畸形胎儿的防范与检查

       “美人鱼综合症”的病因至今是个谜,但是基因变异和环境是导致胎儿畸形的重要因素。基因的变化我们很难掌控,所以孕妈尤其要关注孕期的环境,给宝宝一个健康的生长环境。以下这几点准妈咪们都应该注意起来。

1
避免吃霉变食物


       有关专家指出,孕妇若食入被霉菌素污染了的食品(霉变食物),霉菌毒素可通过胎盘祸及胎儿,引起胎儿体内细胞染色体断裂。准妈咪应该在食用食物前看清楚包装上的保质期,最好还是选择一些新鲜的食物比较好。

2
告别不良习惯

 

       这是减少胎儿缺陷的重要一环。如果母亲在怀孕期间饮酒、吸烟、长期受到电子辐射,或者孕早期发烧感冒用药不当,都会增加胎儿畸形的概率。

3
预防感染


       发生于女性孕期的某些感染对未出生的宝宝来说是非常有害的,甚至可以导致出生缺陷。有一些预防感染的很简单的方法:常洗手、肉类食品要烹饪至熟、远离感染人群、避免接触野外猫狗。

4
不要错过最佳生育年龄 

 

       女性生育的最佳年龄是在22-29岁,高龄产妇胎儿畸形的几率会有所上升尤其是35岁以上。

5
定期做孕期检查


       怀孕后立即建立围产保健卡定期检查,11—13周+6天时可做NT筛查,24—26周前做四维彩超等,这些检查都可以在怀孕早期查出胎儿是否畸形。

四维彩超—排畸小助手

       永州凤凰妇产医院引进美国GE-E8四维彩超设备,美国GE-E8彩超被誉为目前世界上最神奇的彩超,可360°立体展示胎儿各器官的发育情况。它是根据人体工程学设计出来的检测仪器,不存在光波、射线或电磁波辐射,因此对人体健康不会造成影响,而且市场上也没有出现对胎儿造成危害的负面新闻。这是和传统的B超检查相比最具优势的一点。

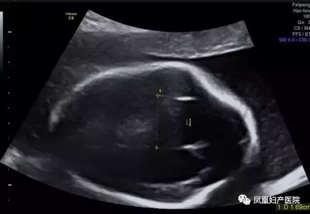
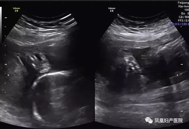
胎儿常见畸形检查图

(脊柱裂)

(柠檬头)

(右侧缺指)

(左肾缺如)

(前脑无裂畸形,喙鼻)

(多发畸形)

      温馨提示:我院四维检查时间为24-26周,准妈妈可提前预约,预约热线:0746-8444555

最新文章

网友跟帖

关于我们 | 联系我们 | 版权申明 | 免责声明1111

本站所收录作品、热点评论等信息部分来源互联网,目的只是为了系统归纳学习和传递资讯!

免责申明:所有作品版权归原创作者所有,与本站立场无关,如不慎侵犯了你的权益,请联系我们告知,我们将做删除处理!

Copyright 2017-2018 怀孕期 版权所有 湘ICP备15012852号